Promotional price valid on web orders only. Your contract pricing may differ. Interested in signing up for a dedicated account number?
Learn More
Learn More
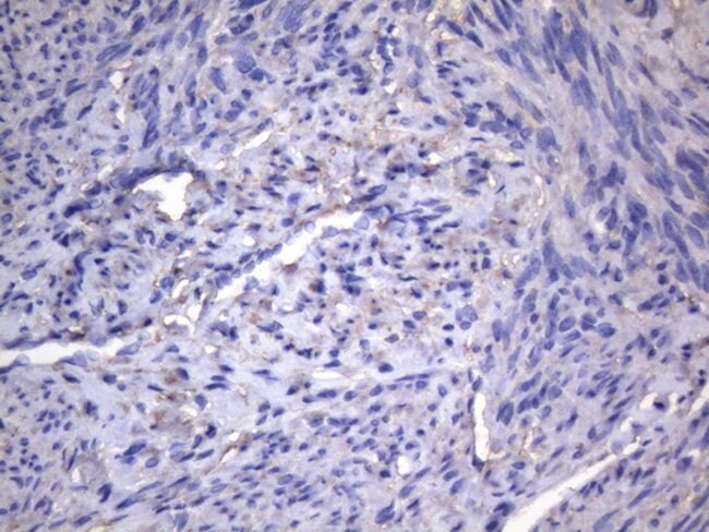
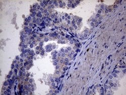
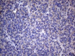
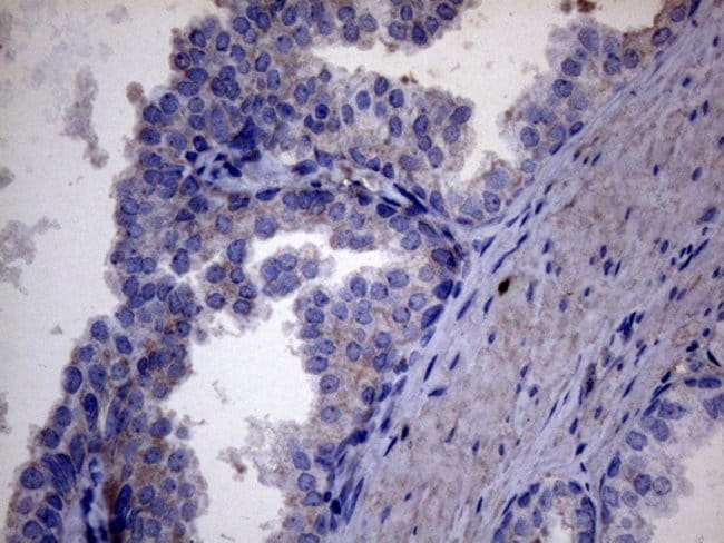
AKIP1 Monoclonal Antibody (OTI2E4), TrueMAB™, OriGene

Mouse Monoclonal Antibody
Supplier: OriGene TA808486

Description
Enhances NF-kappa-B transcriptional activity by regulating the nuclear localization of the NF-kappa-B subunit RELA and promoting the phosphorylation of RELA by PRKACA. Regulates the effect of the cAMP-dependent protein kinase signaling pathway on the NF-kappa-B activation cascade.Specifications
AKIP1 | |
Monoclonal | |
1 mg/mL | |
PBS with 1% BSA, 50% glycerol and 0.02% sodium azide | |
Q9NQ31 | |
AKIP1 | |
Full length human recombit protein of human AKIP1 produced in E.coli. | |
100 μL | |
Primary | |
Human | |
Antibody | |
IgG1 |
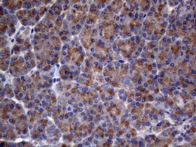
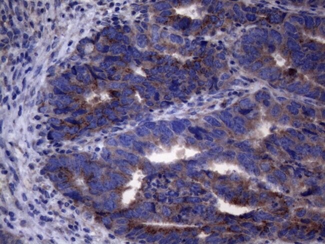
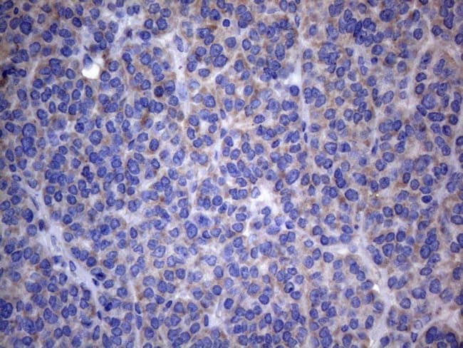
Immunohistochemistry (Paraffin) | |
OTI2E4 | |
Unconjugated | |
AKIP1 | |
BCA3, C11orf17 | |
Mouse | |
Affinity Chromatography | |
RUO | |
56672 | |
-20° C, Avoid Freeze/Thaw Cycles | |
Liquid |
Product Content Correction
The Fisher Scientific Encompass Program offers items which are not part of our distribution portfolio. These products typically do not have pictures or detailed descriptions. However, we are committed to improving your shopping experience. Please use the form below to provide feedback related to the content on this product.
Product Title
Spot an opportunity for improvement?Share a Content Correction