Learn More
Invitrogen™ Androgen Receptor Recombinant Rabbit Monoclonal Antibody (PO00-29)

Description
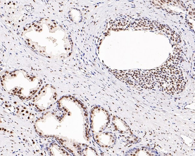
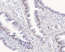
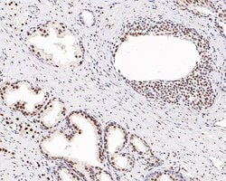
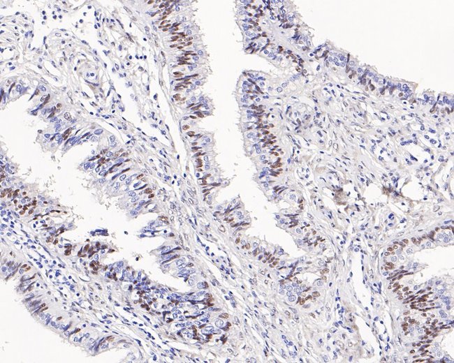
Androgen Receptor Recombinant Monoclonal Antibody for Western Blot, ICC/IF, IHC (P)
Specifications
Specifications
| Antigen | Androgen Receptor |
| Applications | Immunohistochemistry (Paraffin), Western Blot, Immunocytochemistry |
| Classification | Recombinant Monoclonal |
| Clone | PO00-29 |
| Concentration | 1 mg/mL |
| Conjugate | Unconjugated |
| Formulation | PBS with 0.1% BSA, 40% glycerol and 0.05% sodium azide; pH 7.4 |
| Gene | AR |
| Gene Accession No. | P10275, P15207 |
| Gene Alias | AIS; Andr; androgen nuclear receptor variant 2; androgen receptor; androgen receptor (Testicular feminization), same as Tfm; androgen receptor splice variant 4b; Ar; AR8; AR-A; AW320017; DHTR; dihydrotestosterone receptor; HUMARA; HYSP1; KD; NR3C4; Nuclear receptor subfamily 3 group C member 4; RP11-383C12.1; SBMA; SMAX1; TFM; Variant AR45 |
| Show More |
By clicking Submit, you acknowledge that you may be contacted by Fisher Scientific in regards to the feedback you have provided in this form. We will not share your information for any other purposes. All contact information provided shall also be maintained in accordance with our Privacy Policy.