Learn More
Invitrogen™ APOE Polyclonal Antibody

Description
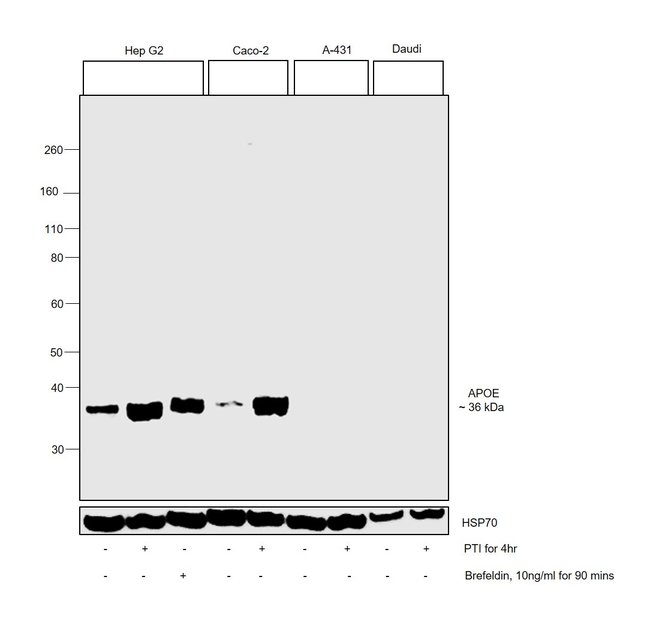
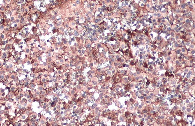
Recommended positive controls: HepG2, Conditional medium from differentiated human primary preadipocyte, human plasma. Store product as a concentrated solution. Centrifuge briefly prior to opening the vial.
Specifications
Specifications
| Antigen | APOE |
| Applications | ELISA, Immunohistochemistry (Frozen), Immunohistochemistry (Paraffin), Immunoprecipitation, Western Blot, Immunocytochemistry |
| Classification | Polyclonal |
| Concentration | 0.66 mg/mL |
| Conjugate | Unconjugated |
| Formulation | PBS with 20% glycerol and 0.025% ProClin 300; pH 7 |
| Gene | APOE |
| Gene Accession No. | P02649 |
| Gene Alias | AD2; AI255918; APOE; apo-E; ApoE4; APOEA; Apolipoprotein; apolipoprotein E; apolipoprotein E3; apolipoprotein E4; Apoprotein; B2G1; BG; LDLCQ5; LPG; MGC1571 |
| Gene Symbols | APOE |
| Show More |
By clicking Submit, you acknowledge that you may be contacted by Fisher Scientific in regards to the feedback you have provided in this form. We will not share your information for any other purposes. All contact information provided shall also be maintained in accordance with our Privacy Policy.