Learn More
Invitrogen™ DNMT3A Monoclonal Antibody (64B1446)

Description
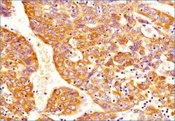
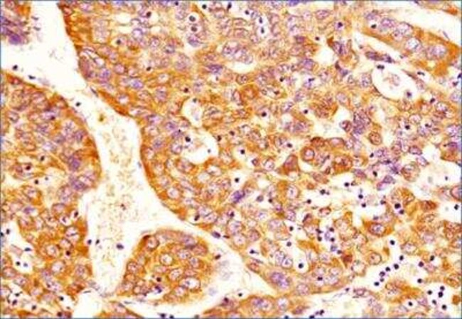
In Western blot, this antibody detects a band at approximately 120 kDa (predicted molecular weight: 102 kDa). Staining of formalin-fixed tissues is enhanced by boiling tissue sections in 10 mM sodium citrate buffer, pH 6.0 for 10-20 min followed by cooling at RT for 20 min. Suggested positive control: antigen standard for DNMT3A (transient overexpression lysate), transfected cell lysate (WB), HeLa cells (ICC).
Specifications
Specifications
| Antigen | DNMT3A |
| Applications | ChIP Assay, Flow Cytometry, Immunohistochemistry (Paraffin), Western Blot, Immunocytochemistry |
| Classification | Monoclonal |
| Clone | 64B1446 |
| Concentration | 1 mg/mL |
| Conjugate | Unconjugated |
| Formulation | PBS with 0.05% sodium azide |
| Gene | DNMT3A |
| Gene Accession No. | O88508, Q1LZ53, Q9Y6K1 |
| Gene Alias | AU015806; DNA (cytosine-5-)-methyltransferase 3 alpha; DNA (cytosine-5)-methyltransferase 3A; DNA cytosine methyltransferase 3A2; DNA methyltransferase 3 alpha; DNA methyltransferase 3A; DNA methyltransferase HsaIIIA; DNA methyltransferase MmuIIIA; DNA MTase HsaIIIA; DNA MTase MmuIIIA; Dnmt3a; DNMT3A2; M.HsaIIIA; MmuIIIA; TBRS; W91664 |
| Show More |
By clicking Submit, you acknowledge that you may be contacted by Fisher Scientific in regards to the feedback you have provided in this form. We will not share your information for any other purposes. All contact information provided shall also be maintained in accordance with our Privacy Policy.