Promotional price valid on web orders only. Your contract pricing may differ. Interested in signing up for a dedicated account number?
Learn More

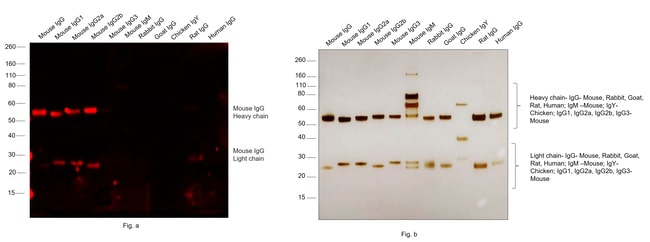
Invitrogen™ F(ab')2-Goat anti-Mouse IgG (H+L) Cross-Adsorbed Secondary Antibody, Alexa Fluor™ 594

F(ab')2-Goat Polyclonal Secondary Antibody

Supplier:  Invitrogen™ A11020

Encompass_Preferred

Catalog No. A11020


Only null left
Add to Cart

Description

Description

To minimize cross-reactivity, these goat anti-mouse IgG (H+L) divalent F(ab')2 secondary antibodies have been affinity purified and cross-adsorbed against human IgG and serum. Cross-adsorption or pre-adsorption is a purification step to increase specificity of the antibody resulting in higher sensitivity and less background staining. The secondary antibody solution is passed through a column matrix containing immobilized serum proteins from potentially cross-reactive species. Only the nonspecific-binding secondary antibodies are captured in the column, and the highly specific secondaries flow through. The benefits of this extra step are apparent in multiplexing/multicolor-staining experiments (e.g., flow cytometry) where there is potential cross-reactivity with other primary antibodies or in tissue/cell fluorescent staining experiments where there are may be the presence of endogenous immunoglobulins. Alexa Fluor dyes are among the most trusted fluorescent dyes available today. Invitrogen™ Alexa Fluor 594 dye is a bright, red-fluorescent dye with excitation ideally suited to the 594 nm laser line. For stable signal generation in imaging and flow cytometry, Alexa Fluor 594 dye is pH-insensitive over a wide molar range. Probes with high fluorescence quantum yield and high photostability allow detection of low-abundance biological structures with great sensitivity. Alexa Fluor 594 dye molecules can be attached to proteins at high molar ratios without significant self-qu...

Anti-Mouse secondary antibodies are affinity-purified antibodies with well-characterized specificity for mouse immunoglobulins and are useful in the detection, sorting or purification of its specified target. Secondary antibodies offer increased versatility enabling users to use many detection systems (e.g. HRP, AP, fluorescence). They can also provide greater sensitivity through signal amplification as multiple secondary antibodies can bind to a single primary antibody. Most commonly, secondary antibodies are generated by immunizing the host animal with a pooled population of immunoglobulins from the target species and can be further purified and modified (i.e. immunoaffinity chromatography, antibody fragmentation, label conjugation, etc.) to generate highly specific reagents.
TRUSTED_SUSTAINABILITY
Specifications

Specifications

Mouse IgG (H+L) Cross-Adsorbed
Polyclonal
Alexa Fluor 594
Goat
Purified
RUO
Mouse
Secondary Antibody
IgG
Flow Cytometry, Western Blot, Immunocytochemistry
2 mg/mL
PBS with 5mM sodium azide; pH 7.5
Gamma Immunoglobins Heavy and Light chains.
500 μg
Secondary
4°C, store in dark
Liquid
Product Suggestions

Product Suggestions

Videos
SDS
Documents

Documents

Product Certifications
Promotions

Promotions

Product Content Correction

The Fisher Scientific Encompass Program offers items which are not part of our distribution portfolio. These products typically do not have pictures or detailed descriptions. However, we are committed to improving your shopping experience. Please use the form below to provide feedback related to the content on this product.

Product Title

By clicking Submit, you acknowledge that you may be contacted by Fisher Scientific in regards to the feedback you have provided in this form. We will not share your information for any other purposes. All contact information provided shall also be maintained in accordance with our Privacy Policy.

Your feedback has been submitted: Thank you for helping us improve our website.