Promotional price valid on web orders only. Your contract pricing may differ. Interested in signing up for a dedicated account number?
Learn More

paired box 7, Mouse, Clone: 1E12, Abnova™

Catalog No. 89000860 Shop All Abnova Corporation Products
Change view
Click to view available options
Quantity:
100 μg
1 product options available for selection
Product selection table with 1 available options. Use arrow keys to navigate and Enter or Space to select.
Catalog No. Quantity
89-000-860 100 μg
Use arrow keys to navigate between rows. Press Enter or Space to select a product option. 1 options available.
1 options
Catalog No. 89-000-860 Supplier Abnova Corporation Supplier No. H00005081M05
Only null left
Add to Cart
Edge
Add to Cart

Mouse monoclonal antibody raised against a partial recombinant PAX7.

This gene is a member of the paired box (PAX) family of transcription factors. Members of this gene family typically contain a paired box domain, an octapeptide, and a paired-type homeodomain. These genes play critical roles during fetal development and cancer growth. The specific function of the paired box 7 gene is unknown but speculated to involve tumor suppression since fusion of this gene with a forkhead domain family member has been associated with alveolar rhabdomyosarcoma. Three transcript variants encoding different isoforms have been found for this gene. [provided by RefSeq

Sequence: GGLDSATSISASCSQRADSIKPGDSLPTSQAYCPPTYSTTGYSVDPVAGYQYGQYGQSECLVPWASPVPIPSPTPRASCLFMESYKVVSGWGMSISQMEKLKSSQMEQFT

Specifications

Antigen paired box 7
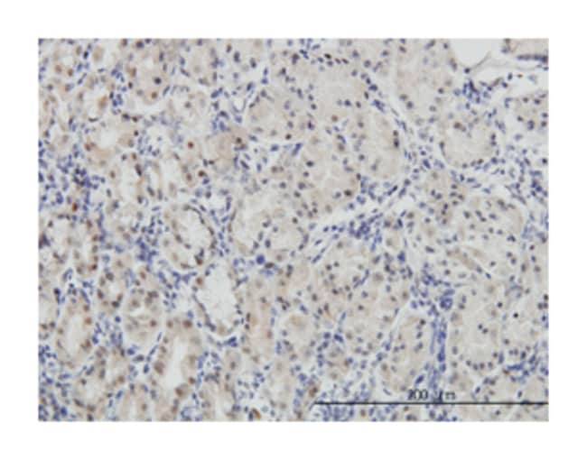
Applications ELISA, Immunohistochemistry (PFA fixed), Western Blot
Classification Monoclonal
Clone 1E12
Conjugate Unconjugated
Description Mouse monoclonal antibody raised against a partial recombinant PAX7.
Formulation PBS with no preservative; pH 7.4
Gene PAX7
Gene Accession No. NM_002584
Gene Alias HUP1/PAX7B
Gene Symbols PAX7
Host Species Mouse
Immunogen PAX7 (NP_002575.1, 411 a.a. ∼ 520 a.a) partial recombinant protein with GST tag. MW of the GST tag alone is 26 KDa.
Purification Method Affinity Purified
Quantity 100 μg
Regulatory Status RUO
Research Discipline Apoptosis
Whole Molecule Yes
Primary or Secondary Primary
Gene ID (Entrez) 5081
Target Species Human, Mouse
Content And Storage Store at -20°C or lower. Aliquot to avoid repeated freezing and thawing.
Product Type Antibody
Isotype IgG2a κ
Show More Show Less
Product Title
Select an issue

By clicking Submit, you acknowledge that you may be contacted by Fisher Scientific in regards to the feedback you have provided in this form. We will not share your information for any other purposes. All contact information provided shall also be maintained in accordance with our Privacy Policy.