Promotional price valid on web orders only. Your contract pricing may differ. Interested in signing up for a dedicated account number?
Learn More

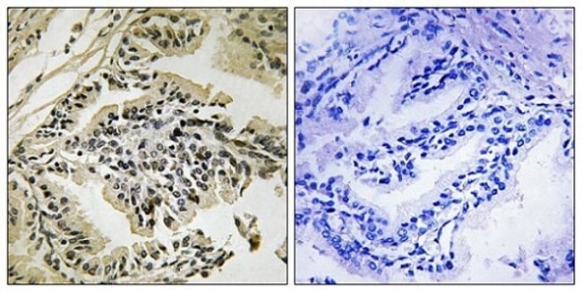
Abcam Rabbit polyclonal to PERK (phospho T982)

Supplier:  Abcam AB192591100UL

Encompass_Preferred

Rabbit polyclonal to PERK (phospho T982)

The product is subject to the following: Abcam Restricted Use Statement

Catalog No. NC1256538


May include imposed supplier surcharges.
Only null left
Add to Cart

Product Content Correction

The Fisher Scientific Encompass Program offers items which are not part of our distribution portfolio. These products typically do not have pictures or detailed descriptions. However, we are committed to improving your shopping experience. Please use the form below to provide feedback related to the content on this product.

Product Title

By clicking Submit, you acknowledge that you may be contacted by Fisher Scientific in regards to the feedback you have provided in this form. We will not share your information for any other purposes. All contact information provided shall also be maintained in accordance with our Privacy Policy.

Your feedback has been submitted: Thank you for helping us improve our website.