Learn More
Invitrogen™ ANTXR2 Polyclonal Antibody

Description
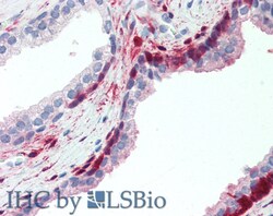
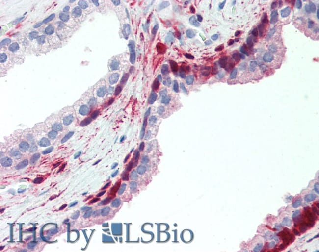
ANTXR2 Polyclonal Antibody for Western Blot, IHC (P)
Specifications
Specifications
| Antigen | ANTXR2 |
| Applications | Immunohistochemistry (Paraffin), Western Blot |
| Classification | Polyclonal |
| Concentration | 0.5 mg/mL |
| Conjugate | Unconjugated |
| Formulation | PBS with 50% glycerol and 0.05% ProClin 300; pH 7.4 |
| Gene | ANTXR2 |
| Gene Accession No. | P58335 |
| Gene Alias | 2310046B19Rik; anthrax toxin receptor 2; ANTXR cell adhesion molecule 2; ANTXR cell adhesion molecule 2; anthrax toxin receptor 2; ANTXR2; AW561899; Capillary morphogenesis gene 2 protein; capillary morphogenesis protein 2; cI-35; CMG2; CMG-2; FLJ31074; HFS; ISH; JHF; MGC111533; MGC45856 |
| Gene Symbols | ANTXR2 |
| Show More |
Safety and Handling
By clicking Submit, you acknowledge that you may be contacted by Fisher Scientific in regards to the feedback you have provided in this form. We will not share your information for any other purposes. All contact information provided shall also be maintained in accordance with our Privacy Policy.