Promotional price valid on web orders only. Your contract pricing may differ. Interested in signing up for a dedicated account number?
Learn More

APC Rabbit anti-Human, Polyclonal, Bethyl Laboratories

Rabbit Polyclonal Antibody

Supplier:  Bethyl Laboratories, Inc A300980A

Encompass_Preferred

Catalog No. 50-155-8940


May include imposed supplier surcharges.
Only null left
Add to Cart

Description

Description

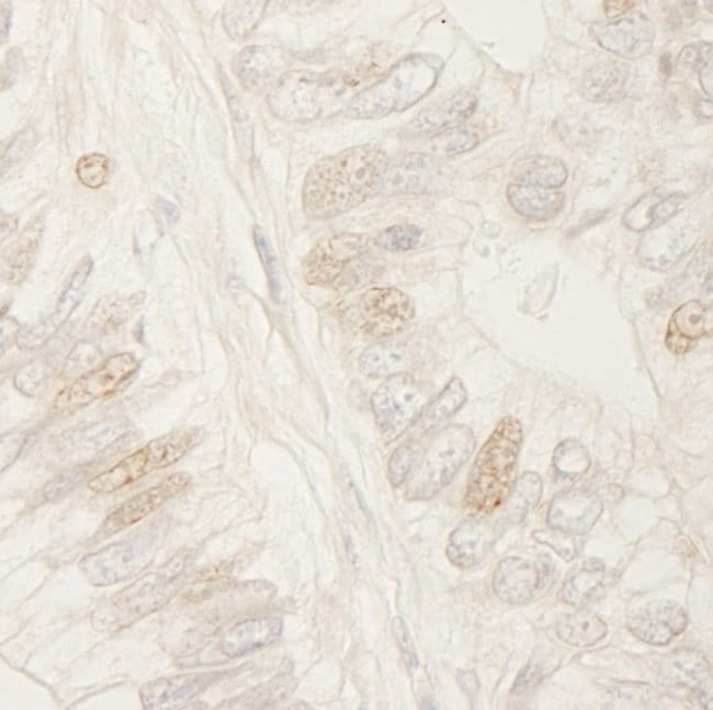
The recommended shelf life for this product is 1 year from date of receipt. Application Note: For IHC, epitope retrieval with citrate buffer pH 6.0 is recommended for FFPE tissue sections.

This gene encodes a tumor suppressor protein that acts as an antagonist of the Wnt signaling pathway. It is also involved in other processes including cell migration and adhesion, transcriptional activation, and apoptosis. Defects in this gene cause familial adenomatous polyposis (FAP), an autosomal domit pre-maligt disease that usually progresses to maligcy. Disease-associated mutations tend to be clustered in a small region designated the mutation cluster region (MCR) and result in a truncated protein product.
Specifications

Specifications

APC
Polyclonal
Unconjugated
APC
Adenomatous Polyposis Coli, APC, DP2, DP2.5, DP3, FAP, FPC, GS
Rabbit
Antigen affinity chromatography
RUO
324
4° C
Liquid
Immunohistochemistry, Immunoprecipitation
1 mg/ml
phosphate, tris citrate with 0.09% sodium azide; pH 7-8
P25054
APC
Between 75 and 125
100 μL
Primary
Human
Antibody
IgG
Product Suggestions

Product Suggestions

Videos
SDS
Documents

Documents

Product Certifications
Promotions

Promotions

Product Content Correction

The Fisher Scientific Encompass Program offers items which are not part of our distribution portfolio. These products typically do not have pictures or detailed descriptions. However, we are committed to improving your shopping experience. Please use the form below to provide feedback related to the content on this product.

Product Title

By clicking Submit, you acknowledge that you may be contacted by Fisher Scientific in regards to the feedback you have provided in this form. We will not share your information for any other purposes. All contact information provided shall also be maintained in accordance with our Privacy Policy.

Your feedback has been submitted: Thank you for helping us improve our website.