Promotional price valid on web orders only. Your contract pricing may differ. Interested in signing up for a dedicated account number?
Learn More

APC1 Rabbit anti-Human, Mouse, Polyclonal, Bethyl Laboratories

Rabbit Polyclonal Antibody

Supplier:  Bethyl Laboratories, Inc A301653A

Encompass_Preferred

Catalog No. 50-156-0914


May include imposed supplier surcharges.
Only null left
Add to Cart

Description

Description

The recommended shelf life for this product is 1 year from date of receipt.

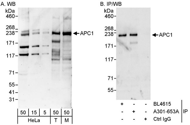
APC1 is 1 of at least 11 subunits of the anaphase promoting complex (APC), which functions at the metaphase to anaphase transition of the cell cycle and is regulated by spindle checkpoint proteins. The APC is an E3 ubiquitin ligase that targets cell cycle regulatory proteins for degradation by the proteasome, thereby allowing progression through the cell cycle.
Specifications

Specifications

APC1
Polyclonal
Unconjugated
ANAPC1
APC1, MCPR, TSG24; anaphase-promoting complex 1 (meiotic checkpoint regulator); anaphase-promoting complex subunit 1; cyclosome subunit 1; mitotic checkpoint regulator; testis-specific gene 24 protein
Rabbit
Antigen affinity chromatography
RUO
17222, 64682
4° C
Liquid
Immunoprecipitation, Western Blot
1 mg/ml
phosphate, tris citrate with 0.09% sodium azide; pH 7-8
P53995, Q9H1A4
ANAPC1
Between 500 and 550
100 μL
Primary
Human, Mouse
Antibody
IgG
Product Suggestions

Product Suggestions

Videos
SDS
Documents

Documents

Product Certifications
Promotions

Promotions

Product Content Correction

The Fisher Scientific Encompass Program offers items which are not part of our distribution portfolio. These products typically do not have pictures or detailed descriptions. However, we are committed to improving your shopping experience. Please use the form below to provide feedback related to the content on this product.

Product Title

By clicking Submit, you acknowledge that you may be contacted by Fisher Scientific in regards to the feedback you have provided in this form. We will not share your information for any other purposes. All contact information provided shall also be maintained in accordance with our Privacy Policy.

Your feedback has been submitted: Thank you for helping us improve our website.