Promotional price valid on web orders only. Your contract pricing may differ. Interested in signing up for a dedicated account number?
Learn More
Learn More
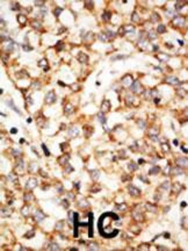
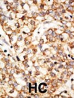
Invitrogen™ APOBEC1 Polyclonal Antibody

Rabbit Polyclonal Antibody
Supplier: Invitrogen™ PA511429
Description
APOBEC1 Polyclonal Antibody for Western Blot, IHC (P)
This gene encodes a member of the cytidine deaminase enzyme family. The encoded protein forms a multiple-protein editing holoenzyme with APOBEC1 complementation factor and APOBEC1 stimulating protein . This holoenzyme is involved in the editing of C-to-U nucleotide bases in apolipoprotein B and neurofibromatosis-1 mRNAs.
Specifications
| APOBEC1 | |
| Polyclonal | |
| Unconjugated | |
| APOBEC1 | |
| Apobec1; APOBEC-1; apolipoprotein B editing complex 1; apolipoprotein B mRNA editing enzyme catalytic polypeptide 1; apolipoprotein B mRNA editing enzyme catalytic subunit 1; apolipoprotein B mRNA editing enzyme complex-1; apolipoprotein B mRNA editing enzyme, catalytic polypeptide 1; apolipoprotein B mRNA-editing enzyme 1; BEDP; C->U-editing enzyme APOBEC-1; Cdar1; HEPR; mRNA(cytosine(6666)) deaminase 1 | |
| Rabbit | |
| Ammonium Sulfate Precipitation, Size-exclusion - Dialysis | |
| RUO | |
| 11810, 339 | |
| Store at 4°C short term. For long term storage, store at -20°C, avoiding freeze/thaw cycles. | |
| Liquid |
| Immunohistochemistry (Paraffin), Western Blot | |
| 2.0 mg/mL | |
| PBS with 0.09% sodium azide; pH 7.4 | |
| P41238, P51908 | |
| APOBEC1 | |
| KLH conjugated synthetic peptide between 7-36 amino acids from the N-terminal region of human Apobec1. | |
| 400 μL | |
| Primary | |
| Human, Mouse | |
| Antibody | |
| IgG |
Product Content Correction
Your input is important to us. Please complete this form to provide feedback related to the content on this product.
Product Title
Spot an opportunity for improvement?Share a Content Correction