Learn More
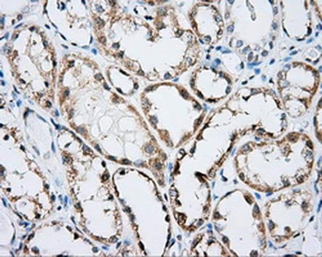
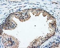
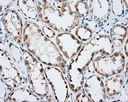
ARHGDIA Monoclonal Antibody (OTI1A7), TrueMAB™, OriGene

Description
Specifications
Specifications
| Antigen | ARHGDIA |
| Applications | Immunocytochemistry, Immunohistochemistry (Paraffin), Western Blot |
| Classification | Monoclonal |
| Clone | OTI1A7 |
| Concentration | 0.72 mg/mL |
| Conjugate | Unconjugated |
| Formulation | PBS with 1% BSA, 50% glycerol and 0.02% sodium azide |
| Gene | BTK |
| Gene Accession No. | Q06187 |
| Gene Alias | 5330430M07Rik; Arhgdia; arhgdia {ECO:0000312; Bles01; C87222; epididymis secretory sperm binding protein Li 47e; Gdi1; Gdi-1; GDIA1; GDP-dissociation inhibitor, aplysia RAS-related 1; HEL-S-47e; MGC117248; NPHS8; QtrA-11619; RGD:1359547}; Rho GDI 1; rho GDI 1 {ECO:0000250; Rho GDI alpha; Rho GDP dissociation inhibitor (GDI) alpha; Rho GDP dissociation inhibitor alpha; rho GDP-dissociation inhibitor 1; rho GDP-dissociation inhibitor 1 {ECO:0000250; RhoDGI; RHOGDI; Rho-GDI; Rho-GDI alpha; rho-GDI alpha {ECO:0000250; RhoGDI-1; UniProtKB:P19803}; unnamed protein product |
| Show More |
By clicking Submit, you acknowledge that you may be contacted by Fisher Scientific in regards to the feedback you have provided in this form. We will not share your information for any other purposes. All contact information provided shall also be maintained in accordance with our Privacy Policy.