Learn More
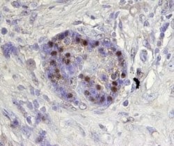
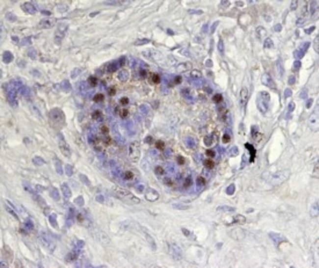
Invitrogen™ ARX Polyclonal Antibody

Description
Reconstitute in sterile PBS to a final concentration of 0.2 mg/mL.
Specifications
Specifications
| Antigen | ARX |
| Applications | Immunohistochemistry (Paraffin), Western Blot, Immunocytochemistry |
| Classification | Polyclonal |
| Concentration | 0.2 mg/mL |
| Conjugate | Unconjugated |
| Formulation | PBS with 5% trehalose and No Preservative |
| Gene | ARX |
| Gene Accession No. | Q96QS3 |
| Gene Alias | aristaless related homeobox; aristaless-related homeobox; aristaless-related homeobox, X-linked; ARX; arx {ECO:0000250; cancer/testis antigen 121; CT121; EIEE1; Homeobox protein ARX; ISSX; MRX29; MRX32; MRX33; MRX36; MRX38; MRX43; MRX54; MRX76; MRX87; MRXS1; PRTS; RGD1562672; UniProtKB:Q96QS3} |
| Gene Symbols | ARX |
| Show More |
Safety and Handling
By clicking Submit, you acknowledge that you may be contacted by Fisher Scientific in regards to the feedback you have provided in this form. We will not share your information for any other purposes. All contact information provided shall also be maintained in accordance with our Privacy Policy.