Promotional price valid on web orders only. Your contract pricing may differ. Interested in signing up for a dedicated account number?
Learn More

ASH2 Rabbit anti-Human, Polyclonal, Bethyl Laboratories

Rabbit Polyclonal Antibody

Supplier:  Bethyl Laboratories, Inc A300489A

Encompass_Preferred

Catalog No. 50-155-7747


May include imposed supplier surcharges.
Only null left
Add to Cart

Description

Description

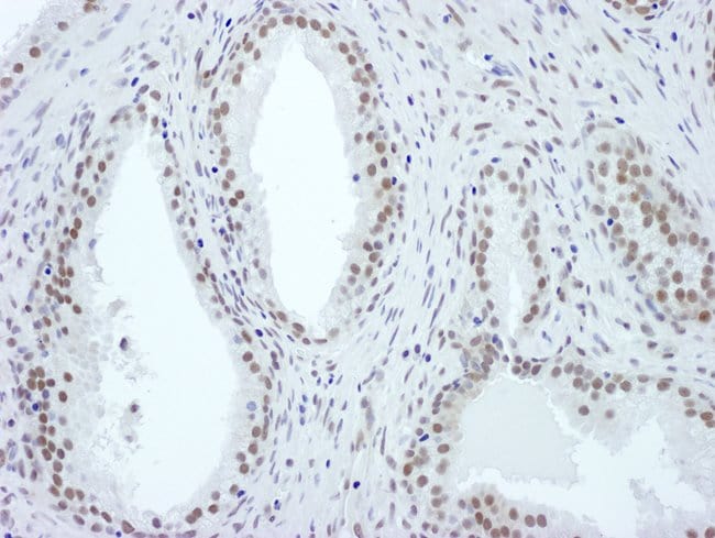
The recommended shelf life for this product is 1 year from date of receipt. Application Note: For IHC, epitope retrieval with citrate buffer pH 6.0 is recommended for FFPE tissue sections. Based on 100% sequence identity, this antibody is predicted to react with Mouse

Ash2 is a component of the Set1/Ash2 histone methyltransferase (HMT) complex. This complex specifically methylates K4 of histone H3, thereby activating transcription. Methylation of K4 is blocked by premethylation of the neighboring K9, a repressor of transcription. This indicates that the Set1/Ash2 HMT complex mediates the crosstalk between K9 methylation and K4 methylation. Ash2 plays a role in hematopoiesis and may be associated with some kinds of leukemia.
Specifications

Specifications

ASH2
Polyclonal
Unconjugated
ASH2L
ASH2, ASH2L1, ASH2L2, Bre2, ASH2-like protein, set1/Ash2 histone methyltransferase complex subunit ASH2
Rabbit
Antigen affinity chromatography
RUO
9070
4° C
Liquid
ChIP Assay, Immunohistochemistry, Immunoprecipitation, Western Blot
1 mg/ml
phosphate, tris citrate with 0.09% sodium azide; pH 7-8
Q9UBL3
ASH2L
Between 575 and C-term
100 μL
Primary
Human
Antibody
IgG
Product Suggestions

Product Suggestions

Videos
SDS
Documents

Documents

Product Certifications
Promotions

Promotions

Product Content Correction

The Fisher Scientific Encompass Program offers items which are not part of our distribution portfolio. These products typically do not have pictures or detailed descriptions. However, we are committed to improving your shopping experience. Please use the form below to provide feedback related to the content on this product.

Product Title

By clicking Submit, you acknowledge that you may be contacted by Fisher Scientific in regards to the feedback you have provided in this form. We will not share your information for any other purposes. All contact information provided shall also be maintained in accordance with our Privacy Policy.

Your feedback has been submitted: Thank you for helping us improve our website.