Promotional price valid on web orders only. Your contract pricing may differ. Interested in signing up for a dedicated account number?
Learn More
Learn More
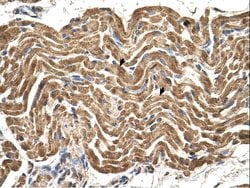
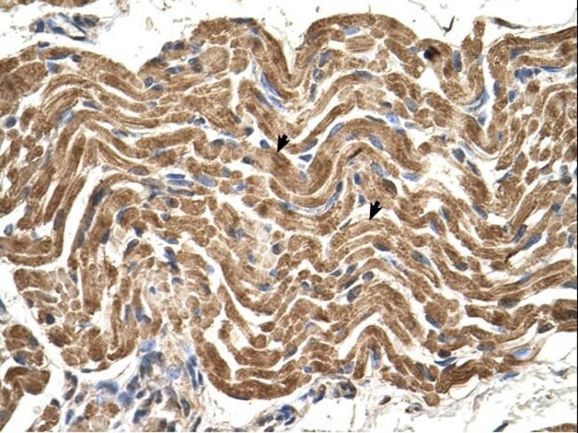
Invitrogen™ ATP Synthase beta Polyclonal Antibody

Rabbit Polyclonal Antibody
Supplier: Invitrogen™ PA5106951
Description
Sequence homology: Cow: 100%; Dog: 100%; Guinea Pig: 100%; Horse: 100%; Human: 100%; Mouse: 100%; Rabbit: 100%; Rat: 100%; Yeast: 77%; Zebrafish: 79%.
ATP synthase is extremely conserved through evolution and can be found in plants, fungi, bacteria, and animals. The ATP synthase enzyme is a transmembrane protein responsible for driving the reversible reaction from ADP+ phosphate to ATP. This reaction is accomplished by a flux of protons across the membrane as a result of electron transfer. The ATP synthase protein has two main sections; the F1 ATP-ase (soluble) and the F0 ATP-ase (membrane embedded). The F1 section consists of the alpha, beta, gamma, delta, and epsilon subunits. While the F0 consists of a, b, and c subunits.
Specifications
| ATP Synthase beta | |
| Polyclonal | |
| Unconjugated | |
| ATP5F1B | |
| ATP synthase F1 subunit beta; ATP synthase subunit beta, mitochondrial; ATP synthase, H+ transporting mitochondrial F1 complex, alpha subunit; ATP synthase, H+ transporting mitochondrial F1 complex, beta subunit; ATP synthase, H+ transporting, mitochondrial F1 complex, beta polypeptide; Atp5b; ATP5F1B; ATPMB; ATPSB; beta-subunit; epididymis secretory protein Li 271; f1-ATPase beta; F1-ATPase beta-subunit; F-1-ATPase beta-subunit precursor; fj13e04; fj55c09; HEL-S-271; hm:zehn0534; hypothetical protein LOC554135; im:6793121; MGC5231; mitochondrial ATP synthase beta subunit; mitochondrial ATP synthase subunit beta subunit; mitochondrial ATP synthase, H+ transporting F1 complex beta subunit; mitochondrial ATP synthetase, beta subunit; wu:fj13e04; wu:fj38d01; wu:fj55c09; zgc:111961 | |
| Rabbit | |
| Protein A | |
| RUO | |
| 11947, 506 | |
| Store at 4°C short term. For long term storage, store at -20°C, avoiding freeze/thaw cycles. | |
| Liquid |
| Immunohistochemistry, Immunoprecipitation, Western Blot | |
| 1.0 mg/mL | |
| PBS with 2% sucrose and 0.09% sodium azide; pH 7.4 | |
| P06576, P56480 | |
| ATP5F1B | |
| Synthetic peptide directed towards the C-terminal region of human ATP5B. | |
| 100 μL | |
| Primary | |
| Human, Mouse | |
| Antibody | |
| IgG |
Safety and Handling
WARNING: Cancer - www.P65Warnings.ca.gov
Product Content Correction
Your input is important to us. Please complete this form to provide feedback related to the content on this product.
Product Title
Spot an opportunity for improvement?Share a Content Correction