Promotional price valid on web orders only. Your contract pricing may differ. Interested in signing up for a dedicated account number?
Learn More
Learn More
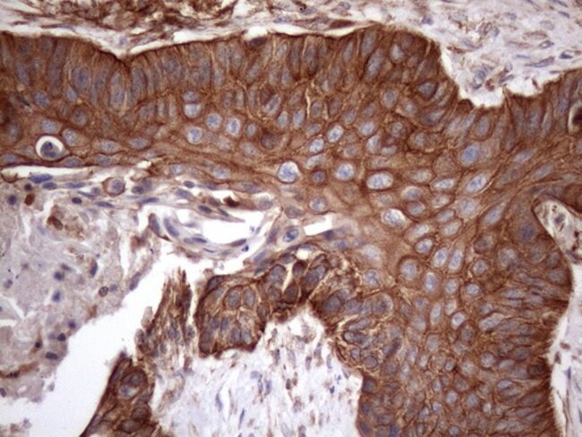
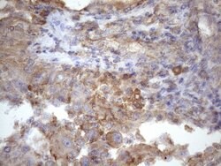
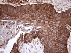
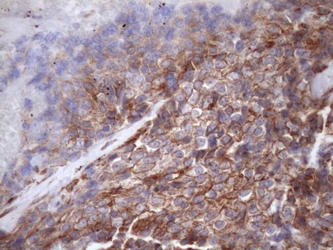
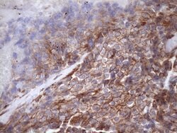
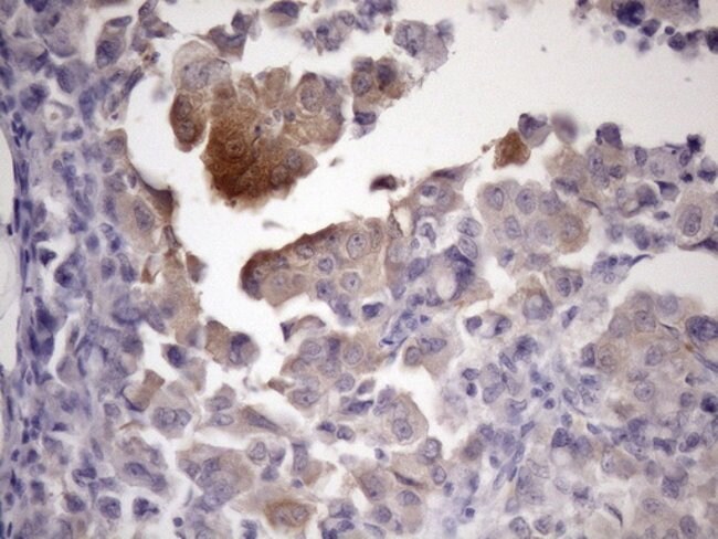
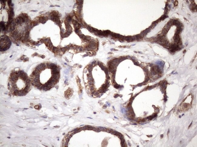
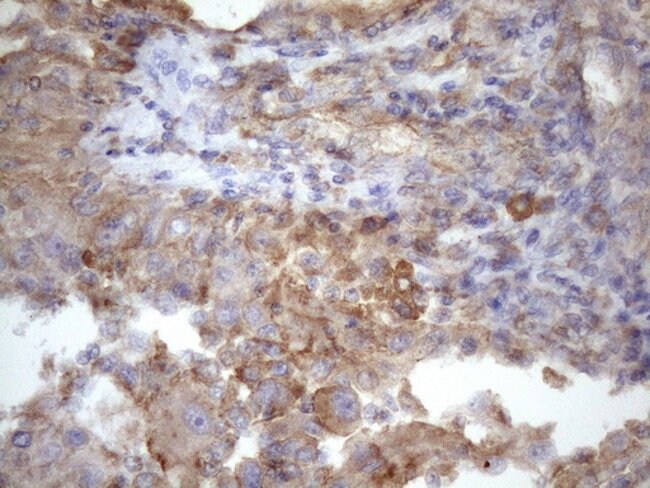
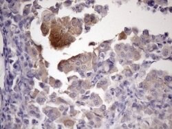
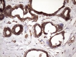
ATP6V1C2 Monoclonal Antibody (OTI8H4), TrueMAB™, OriGene

Mouse Monoclonal Antibody
Supplier: OriGene TA808278

Description
ATP6V1C2 encodes a component of vacuolar ATPase (V-ATPase), a multisubunit enzyme that mediates acidification of eukaryotic intracellular organelles. V-ATPase dependent organelle acidification is necessary for such intracellular processes as protein sorting, zymogen activation, receptor-mediated endocytosis, and synaptic vesicle proton gradient generation. V-ATPase is composed of a cytosolic V1 domain and a transmembrane V0 domain. The V1 domain consists of three A,three B, and two G subunits, as well as a C, D, E, F, and H subunit. The V1 domain contains the ATP catalytic site. This gene encodes alternate transcriptional splice variants, encoding different V1 domain C subunit isoforms.Specifications
ATP6V1C2 | |
Monoclonal | |
1 mg/mL | |
PBS with 1% BSA, 50% glycerol and 0.02% sodium azide | |
Q8NEY4 | |
ATP6V1C2 | |
Full length human recombit protein of human ATP6V1C2 produced in E.coli. | |
100 μL | |
Primary | |
Human | |
Antibody | |
IgG1 |
Immunohistochemistry (Paraffin), Western Blot | |
OTI8H4 | |
Unconjugated | |
ATP6V1C2 | |
ATP6C2, VMA5 | |
Mouse | |
Affinity Chromatography | |
RUO | |
245973 | |
-20° C, Avoid Freeze/Thaw Cycles | |
Liquid |
Product Content Correction
The Fisher Scientific Encompass Program offers items which are not part of our distribution portfolio. These products typically do not have pictures or detailed descriptions. However, we are committed to improving your shopping experience. Please use the form below to provide feedback related to the content on this product.
Product Title
Spot an opportunity for improvement?Share a Content Correction