Promotional price valid on web orders only. Your contract pricing may differ. Interested in signing up for a dedicated account number?
Learn More
Learn More
BPHL Rabbit anti-Human, Mouse, Rat, Polyclonal, Proteintech

Rabbit Polyclonal Antibody
Supplier: Proteintech Group Inc 179741AP150UL

Description
Serine hydrolase that catalyzes the hydrolytic activation of amino acid ester prodrugs of nucleoside analogs such as valacyclovir and valganciclovir. Activates valacyclovir to acyclovir. May play a role in detoxification processes. It is a specific alpha-amino acid ester hydrolase that prefers small, hydrophobic, and aromatic side chains and does not have a stringent requirement for the leaving group other than preferring a primary alcohol.Specifications
BPHL | |
Polyclonal | |
Unconjugated | |
BPHL | |
BPH RP, BPHL, MCNAA, VACVASE, Valacyclovir hydrolase, Valacyclovirase | |
Rabbit | |
Antigen Affinity Chromatography | |
RUO | |
361239, 670, 68021 | |
-20°C | |
Liquid |
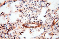
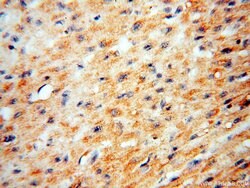
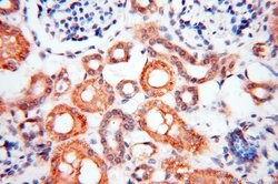
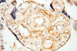
Immunohistochemistry (Paraffin), Western Blot | |
0.24 mg/mL | |
PBS with 50% glycerol and 0.02% sodium azide; pH 7.3 | |
Q86WA6, Q8R164 | |
Bphl | |
BPHL Fusion Protein Ag12085 | |
150 μL | |
Primary | |
Human, Mouse, Rat | |
Antibody | |
IgG |
Product Content Correction
The Fisher Scientific Encompass Program offers items which are not part of our distribution portfolio. These products typically do not have pictures or detailed descriptions. However, we are committed to improving your shopping experience. Please use the form below to provide feedback related to the content on this product.
Product Title
Spot an opportunity for improvement?Share a Content Correction