Promotional price valid on web orders only. Your contract pricing may differ. Interested in signing up for a dedicated account number?
Learn More
Learn More
Invitrogen™ C/EBP beta Polyclonal Antibody

Rabbit Polyclonal Antibody
Supplier: Invitrogen™ PA527244
Description
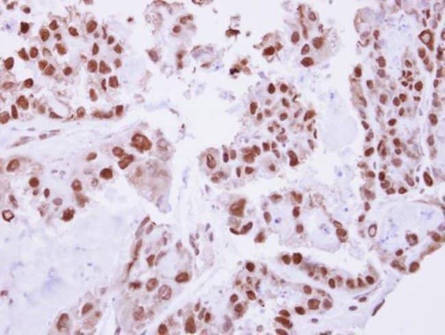
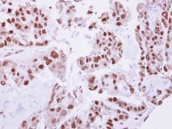
Recommended positive controls: U87-MG. Predicted reactivity: Pig (100%). Store product as a concentrated solution. Centrifuge briefly prior to opening the vial.
This gene belongs to the forkhead family of transcription factors which is characterized by a distinct DNA-binding forkhead domain. The specific function of this gene has not yet been determined; however, it may play a role in the development of mesenchymal tissues.
Specifications
C/EBP beta | |
Polyclonal | |
Unconjugated | |
Cebpb | |
AGP/EBP; C EBP; c/EBP beta; C/EBPb; C/EBPbeta; C/EBP-beta; C/EBP-related protein 2; CCAAT enhancer binding protein beta; CCAAT/enhancer binding protein (C/EBP), beta; CCAAT/enhancer binding protein beta; CCAAT/enhancer-binding protein beta; CEBPB; Crp2; Il6dbp; IL-6DBP; interleukin 6-dependent DNA-binding protein; interleukin-6-dependent-binding protein; LAP; LIP; Liver activator protein; Liver-enriched inhibitory protein; Liver-enriched transcriptional activator; Nfil6; Nf-il6; NF-M; nuclear factor NF-IL6; nuclear factor of interleukin 6; nuclear factor-IL6; nuclear protein Il6; OTTMUSP00000017503; PP9092; Sfb; SF-B; Silencer factor B; TCF5; TCF-5; transcription factor 5; transcription factor C/EBP beta | |
Rabbit | |
Antigen affinity chromatography | |
RUO | |
1051 | |
Store at 4°C short term. For long term storage, store at -20°C, avoiding freeze/thaw cycles. | |
Liquid |
ChIP Assay, Immunohistochemistry (Paraffin), Immunoprecipitation, Western Blot, Immunocytochemistry | |
1.05 mg/mL | |
PBS with 20% glycerol and 0.025% ProClin 300; pH 7 | |
P17676 | |
Cebpb | |
Carrier-protein conjugated synthetic peptide encompassing a sequence within the N-terminus region of human C/EBP beta. The exact sequence is proprietary. | |
100 μL | |
Primary | |
Human | |
Antibody | |
IgG |
Safety and Handling
WARNING: Cancer - www.P65Warnings.ca.gov
Product Content Correction
Your input is important to us. Please complete this form to provide feedback related to the content on this product.
Product Title
Spot an opportunity for improvement?Share a Content Correction