Learn More
C15orf53 Rabbit anti-Human, Polyclonal, Proteintech

Rabbit Polyclonal Antibody
Supplier: Proteintech Group Inc 245531AP150UL
Description
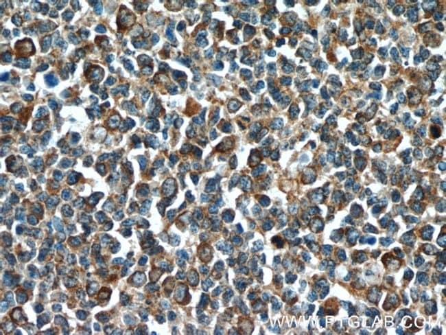
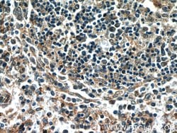
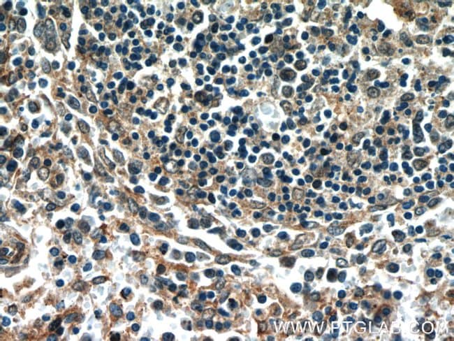
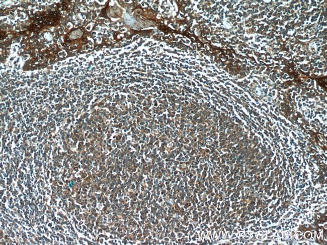
In our detection this antibody always detects a ∽30 kDa band.
The function of this protein remains unknown.Specifications
| C15orf53 | |
| Polyclonal | |
| Unconjugated | |
| C15orf53 | |
| C15orf53 | |
| Rabbit | |
| Antigen Affinity Chromatography | |
| RUO | |
| 400359 | |
| -20°C | |
| Liquid |
| Immunohistochemistry (Paraffin), Western Blot | |
| 0.34 mg/mL | |
| PBS with 50% glycerol and 0.1% sodium azide; pH 7.3 | |
| Q8NAA6 | |
| C15orf53 | |
| C15orf53 Fusion Protein Ag18630 | |
| 150 μL | |
| Primary | |
| Human | |
| Antibody | |
| IgG |
The Fisher Scientific Encompass Program offers items which are not part of our distribution portfolio. These products typically do not have pictures or detailed descriptions. However, we are committed to improving your shopping experience. Please use the form below to provide feedback related to the content on this product.