Learn More
Invitrogen™ C1QBP Polyclonal Antibody

Description
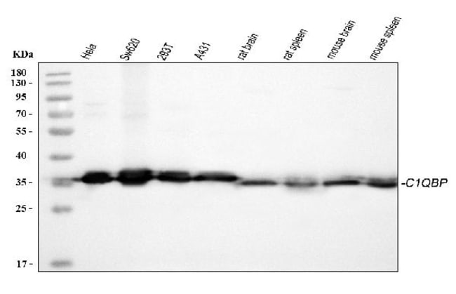
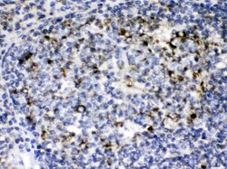
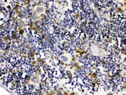
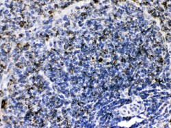
Reconstitute with 0.2 mL of distilled water to yield a concentration of 500 μg/mL. Positive Control - WB: human Hela whole cell, human SW620 whole cell, human 293T whole cell, human A431 whole cell, rat brain tissue, rat spleen tissue, mouse brain tissue, mouse spleen tissue. IHC: mouse spleen tissue, rat spleen tissue, human tonsil tissue. ICC/IF: U20S cell. Flow: U20S cell.
Specifications
Specifications
| Antigen | C1QBP |
| Applications | Flow Cytometry, Immunohistochemistry (Frozen), Immunohistochemistry (Paraffin), Western Blot, Immunocytochemistry |
| Classification | Polyclonal |
| Concentration | 500 μg/mL |
| Conjugate | Unconjugated |
| Formulation | PBS with 5mg BSA and 0.05mg sodium azide |
| Gene | C1QBP |
| Gene Accession No. | O35658, O35796, Q07021 |
| Gene Alias | AA407365; AA986492; ASF/SF2-associated protein p32; C1q globular domain-binding protein; C1QBP; complement C1q binding protein; complement component 1 Q subcomponent-binding protein, mitochondrial; complement component 1, q subcomponent binding protein; D11Wsu182e; GC1QBP; gC1qR; gC1Q-R; gC1q-R protein; glycoprotein gC1qBP; HABP1; Hyaluronan-binding protein 1; mitochondrial matrix protein p32; p32; p33; RPA; SF2AP32; SF2p32; splicing factor SF2-associated protein |
| Gene Symbols | C1QBP |
| Show More |
Safety and Handling
By clicking Submit, you acknowledge that you may be contacted by Fisher Scientific in regards to the feedback you have provided in this form. We will not share your information for any other purposes. All contact information provided shall also be maintained in accordance with our Privacy Policy.