Promotional price valid on web orders only. Your contract pricing may differ. Interested in signing up for a dedicated account number?
Learn More
Learn More
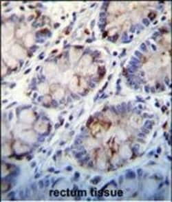
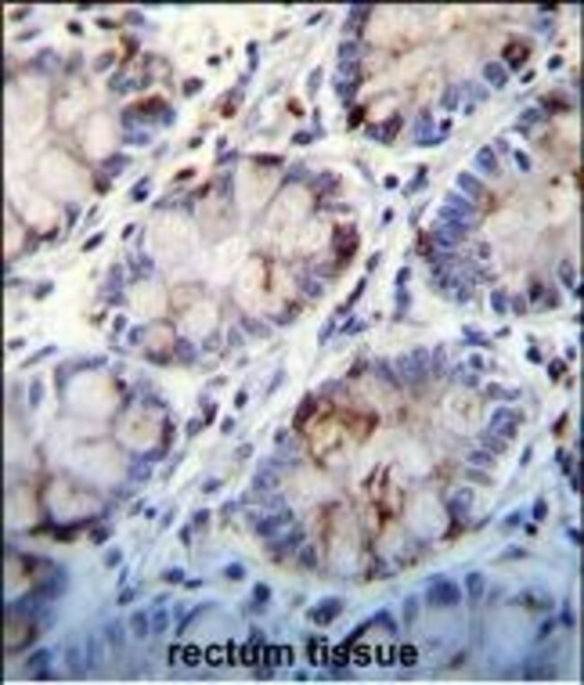
Invitrogen™ C1QC Polyclonal Antibody

Rabbit Polyclonal Antibody
Supplier: Invitrogen™ PA535084
Description
C1QC Polyclonal Antibody for Western Blot, ICC/IF, IHC (P), Flow
This gene encodes a major constituent of the human complement subcomponent C1q. C1q associates with C1r and C1s in order to yield the first component of the serum complement system. A deficiency in C1q has been associated with lupus erythematosus and glomerulonephritis. C1q is composed of 18 polypeptide chains: six A-chains, six B-chains, and six C-chains. Each chain contains a collagen-like region located near the N-terminus, and a C-terminal globular region. The A-, B-, and C-chains are arranged in the order A-C-B on chromosome 1. This gene encodes the C-chain polypeptide of human complement subcomponent C1q. Alternatively spliced transcript variants that encode the same protein have been found for this gene.
Specifications
| C1QC | |
| Polyclonal | |
| Unconjugated | |
| C1QC | |
| AI385742; C1qc; C1Q-C; C1qg; Ciqc; complement C1q C chain; complement C1q subcomponent subunit C; complement component 1, q subcomponent, C chain; complement component 1, q subcomponent, c polypeptide; complement component 1, q subcomponent, gamma polypeptide | |
| Rabbit | |
| Antigen affinity chromatography, Protein A | |
| RUO | |
| 714 | |
| Store at 4°C short term. For long term storage, store at -20°C, avoiding freeze/thaw cycles. | |
| Liquid |
| Flow Cytometry, Immunohistochemistry (Paraffin), Western Blot, Immunocytochemistry | |
| 1.5 mg/mL | |
| PBS with 0.09% sodium azide; pH 7.4 | |
| P02747 | |
| C1QC | |
| KLH conjugated synthetic peptide between 93-120 amino acids from the central region of human C1QC. | |
| 400 μL | |
| Primary | |
| Human | |
| Antibody | |
| IgG |
Product Content Correction
Your input is important to us. Please complete this form to provide feedback related to the content on this product.
Product Title
Spot an opportunity for improvement?Share a Content Correction