Promotional price valid on web orders only. Your contract pricing may differ. Interested in signing up for a dedicated account number?
Learn More
Learn More
C2 Rabbit anti-Human, Polyclonal, Proteintech

Rabbit Polyclonal Antibody
Supplier: Proteintech Group Inc 271751AP150UL

Description
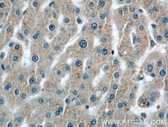
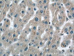
Component C2 is a serum glycoprotein that functions aspart of the classical pathway of the complement system. ActivatedC1 cleaves C2 into C2a and C2b. The serine proteinase C2a thencombines with complement factor 4b to create the C3 or C5convertase. Deficiency of C2 has been reported to associated withcertain autoimmune diseases and SNPs in this gene have beenassociated with altered susceptibility to age-related maculardegeneration. This gene localizes within the class III region ofthe MHC on the short arm of chromosome 6. Alternative splicingresults in multiple transcript variants encoding distinct isoforms. Additional transcript variants have been described in publicationsbut their full-length sequence has not been determined.Specifications
C2 | |
Polyclonal | |
Unconjugated | |
C2 | |
C2, C3/C5 convertase, CO2, Complement C2, complement component 2 | |
Rabbit | |
Antigen Affinity Chromatography | |
RUO | |
717 | |
-20°C | |
Liquid |
Immunohistochemistry (Paraffin), Western Blot | |
0.23 mg/mL | |
PBS with 50% glycerol and 0.1% sodium azide; pH 7.3 | |
P06681 | |
C2 | |
C2 Fusion Protein Ag25690 | |
150 μL | |
Primary | |
Human | |
Antibody | |
IgG |
Product Content Correction
The Fisher Scientific Encompass Program offers items which are not part of our distribution portfolio. These products typically do not have pictures or detailed descriptions. However, we are committed to improving your shopping experience. Please use the form below to provide feedback related to the content on this product.
Product Title
Spot an opportunity for improvement?Share a Content Correction