Learn More
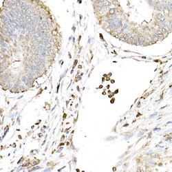
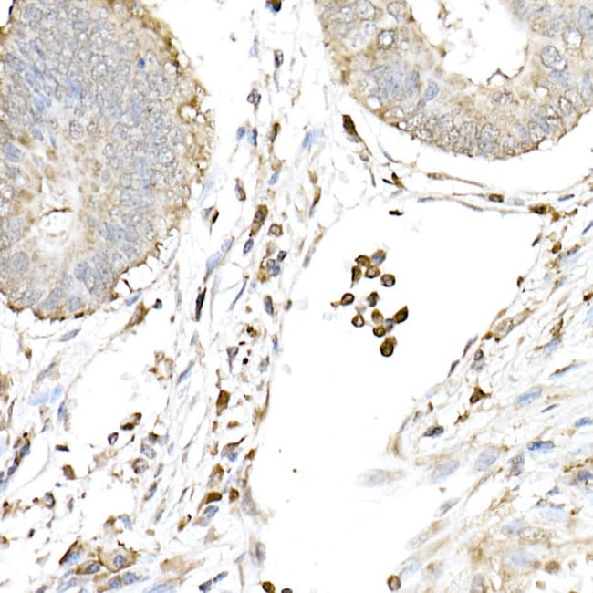
Invitrogen™ cGAS Polyclonal Antibody

Rabbit Polyclonal Antibody
Supplier: Invitrogen™ PA5121188
Description
Positive test controls include: U-87MG, Mouse testis, Mouse thymus, Rat lung. The target is usually found in the following locations: Cytoplasm, cytosol. Immunogen sequence: EEKCCRKDCL KLMKYLLEQL KERFKDKKHL DKFSSYHVKT AFFHVCTQNP QDSQWDRKDL GLCFDNCVTY FLQCLRTEKL ENYFIPEFNL FSSNLIDKRS K.
cGAS (Cyclic GMP-AMP synthase) is a nucleotidyltransferase that catalyzes the formation of cyclic GMP-AMP (cGAMP) from ATP and GTP and plays a key role in innate immunity. Catalysis involves both the formation of 2', 5' phosphodiester linkage at the GpA step and the formation of 3', 5' phosphodiester linkage at the ApG step. This produces c[G(2',5')pA(3'5')p] responses. cGAS also binds cytosolic DNA directly, leading to the activation and synthesis of cGAMP. Then, a second messenger binds to and activates TMEM173/STING thereby triggering type-I interferon production. cGAS is also involved in innate immune sensorship of infection, detection of DNA from bacteria, response to cellular stress, DNA damage, and regulation of cellular senescence.
Specifications
| cGAS | |
| Polyclonal | |
| Unconjugated | |
| CGAS | |
| C6orf150; h-cGAS; MB21D1 | |
| Rabbit | |
| Affinity Chromatography | |
| RUO | |
| 115004 | |
| -20°C, Avoid Freeze/Thaw Cycles | |
| Liquid |
| ELISA, Immunohistochemistry (Paraffin), Western Blot, Immunocytochemistry | |
| 2.14 mg/mL | |
| PBS with 50% glycerol and 0.09% sodium azide; pH 7.3 | |
| Q8N884 | |
| CGAS | |
| A synthetic peptide corresponding to a sequence within amino acids 401-501 of human CGAS(NP_612450.2). | |
| 100 μL | |
| Primary | |
| Human, Mouse, Rat | |
| Antibody | |
| IgG |
Your input is important to us. Please complete this form to provide feedback related to the content on this product.