Learn More
Invitrogen™ Calprotectin Monoclonal Antibody (MAC387)

Description
For staining of paraffin sections, protein digestion pre-treatment (e.g. trypsin), 0.1% for 10 minutes or antigen retrieval using heat treatment is required. Store product as a concentrated solution. Centrifuge briefly prior to opening the vial.
Specifications
Specifications
| Antigen | Calprotectin |
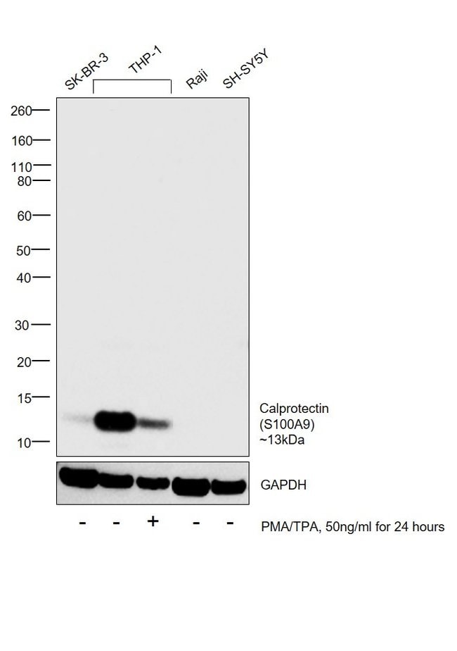
| Applications | Flow Cytometry, Immunohistochemistry (Frozen), Immunohistochemistry (Paraffin), Western Blot, Immunocytochemistry |
| Classification | Monoclonal |
| Clone | MAC387 |
| Concentration | 1 mg/mL |
| Conjugate | Unconjugated |
| Formulation | PBS with 0.09% sodium azide |
| Gene | S100A9 |
| Gene Accession No. | P05109, P06702, P27005, P28782, P28783, P31725, P50115, P50116, P50117 |
| Gene Alias | 60B8Ag; AI323541; AW546964; B8Ag; BEE11; BEE22; CAGA; CAGB; calcium binding protein; S100 protein; calgranulin A; calgranulin B; calgranulin-A; Calgranulin-B; calprotectin; calprotectin L1H subunit; Calprotectin L1L subunit; CFAG; CGLA; CGLB; chemotactic cytokine CP-10; chemotactic S100 protein; CP-10; Cystic fibrosis antigen; EGK_01322; EGK_21438; GAGB; intracellular calcium-binding protein (MRP14); L1AG; Leukocyte L1 complex heavy chain; leukocyte L1 complex light chain; LIAG; LOC100735514; LOC532569 protein; MA387; MAC387; macrophage migration inhibitory factor-related protein-14; macrophage migration inhibitory factor-related protein-8; MIF; migration inhibitory factor-related protein 14; Migration inhibitory factor-related protein 8; Mrp14; MRP-14; MRP8; MRP-8; myeloid-related protein 14; Neutrophil cytosolic 23 kDa protein; neutrophil cytosolic 7 kDa protein; NIF; p14; p23; P7; p8; Pro-inflammatory S100 cytokine; protein S100-A8; Protein S100-A9; S100 calcium binding protein A8; S100 calcium binding protein A8 (calgranulin A); S100 calcium binding protein A9; S100 calcium binding protein A9 (calgranulin B); S100 calcium binding protein A9; protein S100-A9; S100 calcium-binding protein A8; S100 calcium-binding protein A8 (calgranulin A); S100 calcium-binding protein A9; S100 calcium-binding protein A9 (calgranulin B); S100a8; S100A8/S100A9; S100a9; similar to Calgranulin A (Migration inhibitory factor-related protein 8) (MRP-8) (Cystic fibrosis antigen) (CFAG) (P8) (Leukocyte L1 complex light chain) (S100 calcium-binding protein A8) (Calprotectin L1L subunit) (Urinary stone protein band A)...; urinary stone protein band A |
| Show More |
By clicking Submit, you acknowledge that you may be contacted by Fisher Scientific in regards to the feedback you have provided in this form. We will not share your information for any other purposes. All contact information provided shall also be maintained in accordance with our Privacy Policy.