Learn More
Invitrogen™ CARD8 Polyclonal Antibody

Description
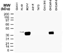
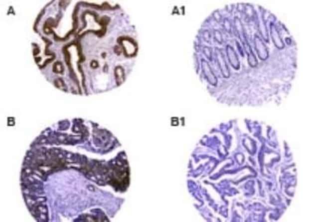
CARD8 Polyclonal Antibody for Western Blot, IHC (P), IP
Specifications
Specifications
| Antigen | CARD8 |
| Applications | Immunohistochemistry (Paraffin), Immunoprecipitation, Western Blot |
| Classification | Polyclonal |
| Concentration | Conc. Not Determined |
| Conjugate | Unconjugated |
| Formulation | Whole serum with 0.05% sodium azide |
| Gene | CARD8 |
| Gene Accession No. | Q9Y2G2 |
| Gene Alias | Apoptotic protein NDPP1; CARD 8; CARD inhibitor of NF-kappaB-activating ligands; CARD8; CARDINAL; CARD-inhibitor of NF-kappa-B-activating ligand; caspase recruitment domain family member 8; caspase recruitment domain family, member 8; caspase recruitment domain-containing protein 8; DACAR; DAKAR; DKFZp779L0366; KI; KIAA0955; NDPP; NDPP1; TUCAN; Tumor up-regulated CARD-containing antagonist of CASP9; tumor up-regulated CARD-containing antagonist of caspase nine |
| Gene Symbols | CARD8 |
| Show More |
Safety and Handling
By clicking Submit, you acknowledge that you may be contacted by Fisher Scientific in regards to the feedback you have provided in this form. We will not share your information for any other purposes. All contact information provided shall also be maintained in accordance with our Privacy Policy.