Promotional price valid on web orders only. Your contract pricing may differ. Interested in signing up for a dedicated account number?
Learn More

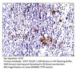
CCR7 Rabbit anti-Human, Mouse, Rat, Polyclonal, FabGennix

Catalog No. 502206402
Encompass
Change view
Click to view available options
Quantity:
200 μL
1 product options available for selection
Product selection table with 1 available options. Use arrow keys to navigate and Enter or Space to select.
Catalog No. Quantity
50-220-6402 200 μL
Use arrow keys to navigate between rows. Press Enter or Space to select a product option. 1 options available.
1 options
Catalog No. 50-220-6402 Supplier Fabgennix Inc Supplier No. CCR7701AP
Only null left
Add to Cart
Add to Cart

Rabbit Polyclonal Antibody

CCR7 Polyclonal antibody specifically detects CCR7 in Human, Mouse, Rat samples. It is validated for Dot Blot, ELISA, Immunocytochemistry, Immunohistochemistry, Immunomicroscopy, Immunoprecipitation, Western Blot

Specifications

Antigen CCR7
Applications Dot Blot, ELISA, Immunocytochemistry, Immunohistochemistry, Immunomicroscopy, Immunoprecipitation, Western Blot
Classification Polyclonal
Concentration 0.5-1.5 mg/mL
Conjugate Unconjugated
Formulation proprietary buffer with 0.5% BSA, 30% glycerol and 0.02% sodium azide; pH 7.4-7.8
Gene Ccr7
Gene Accession No. P32248, P47774
Gene Alias BLR2; Bukitt's lymphoma receptor 2; CC chemokine receptor 7; C-C chemokine receptor type 7; C-C CKR-7; C-C motif chemokine receptor 7; CC-CKR-7; CCR7; CCR-7; CD197; CDw197; chemokine (C-C motif) receptor 7; chemokine (C-C) receptor 7; Cmkbr7; EBI1; Ebi1h; EBV-induced G protein-coupled receptor 1; EBV-induced G-protein coupled receptor 1; Epstein-Barr virus induced gene 1; Epstein-Barr virus-induced G-protein coupled receptor 1; EVI1; lymphocyte-specific G protein-coupled peptide receptor; MIP-3 beta receptor
Host Species Rabbit
Immunogen Synthetic peptide corresponding to unique amino acid sequence on CCR7 protein.
Purification Method Affinity chromatography
Quantity 200 μL
Regulatory Status RUO
Primary or Secondary Primary
Gene ID (Entrez) 1236, 12775, 287673
Target Species Human, Mouse, Rat
Content And Storage -20°C
Product Type Antibody
Form Liquid
Isotype IgG
Show More Show Less
Product Title
Select an issue

By clicking Submit, you acknowledge that you may be contacted by Fisher Scientific in regards to the feedback you have provided in this form. We will not share your information for any other purposes. All contact information provided shall also be maintained in accordance with our Privacy Policy.