Learn More
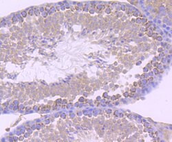
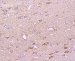
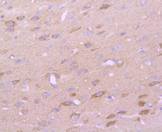
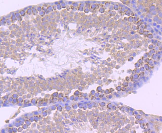
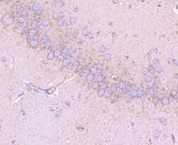
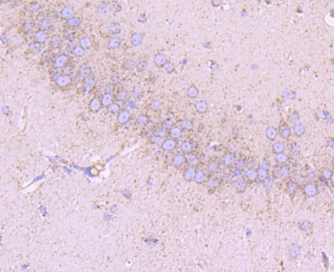
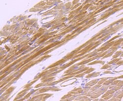
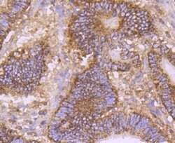
Invitrogen™ CD147 Recombinant Rabbit Monoclonal Antibody (JF1-045)

Description
Recombinant rabbit monoclonal antibodies are produced using in vitro expression systems. The expression systems are developed by cloning in the specific antibody DNA sequences from immunoreactive rabbits. Then, individual clones are screened to select the best candidates for production. The advantages of using recombinant rabbit monoclonal antibodies include: better specificity and sensitivity, lot-to-lot consistency, animal origin-free formulations, and broader immunoreactivity to diverse targets due to larger rabbit immune repertoire.
Specifications
Specifications
| Antigen | CD147 |
| Applications | Immunohistochemistry (Paraffin), Western Blot, Immunocytochemistry, Western Blot |
| Classification | Recombinant Monoclonal |
| Clone | JF1-045 |
| Concentration | 1 mg/mL |
| Conjugate | Unconjugated |
| Formulation | TBS with 0.05% BSA, 40% Glycerol and 0.05% sodium azide; pH 7.4 |
| Gene | BSG |
| Gene Accession No. | P18572, P26453, P35613 |
| Gene Alias | 5A11; 5A11 antigen; 5A11/Basigin; 5A11/Basigin-2; 5F7; AI115436; AI325119; Basic immunoglobulin superfamily; basigin; basigin (Ok blood group); Basigin (Ox47 antigen or CE-9) (EMMPRIN in human) (neurothelin HT7 or 5A11 in avian); basignin; Basignin (Ox47 antigen or CE-9) (EMMPRIN in human) (neurothelin HT7 or 5A11 in avian); blood-brain barrier HT7 antigen; BSG; CD147; CD147 antigen; CE9; Collagenase stimulatory factor; EMMPRIN; Extracellular matrix metalloproteinase inducer; glycoprotein CE9; gp 42; gp42/basigin/OX-47/HT7; HT7; HT-7; HT7 antigen; immunoglobulin gene superfamily member; leukocyte activation antigen M6; Membrane glycoprotein gp42; neurothelin; OK; OK blood group antigen; OX-47 antigen; Ox47R; RPE7; TCSF; tumor cell-derived collagenase stimulatory factor; Unknown (protein for MGC:128392); unnamed protein product; UNQ6505/PRO21383 |
| Show More |
By clicking Submit, you acknowledge that you may be contacted by Fisher Scientific in regards to the feedback you have provided in this form. We will not share your information for any other purposes. All contact information provided shall also be maintained in accordance with our Privacy Policy.