Promotional price valid on web orders only. Your contract pricing may differ. Interested in signing up for a dedicated account number?
Learn More
Learn More
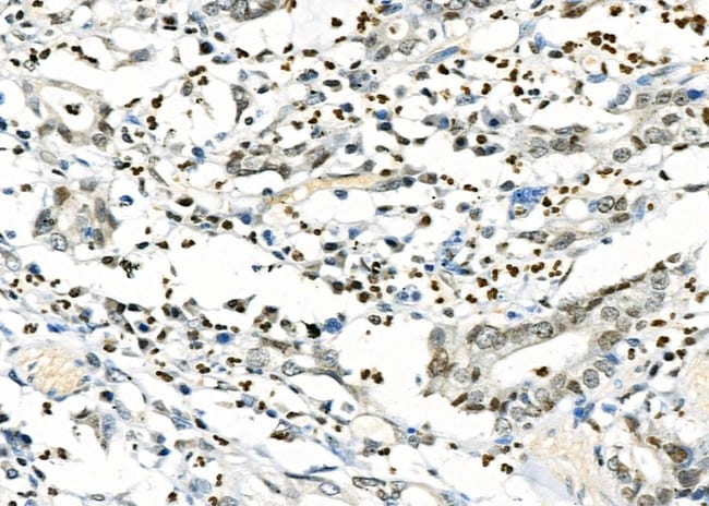
Invitrogen™ CD16 Polyclonal Antibody

Rabbit Polyclonal Antibody
Supplier: Invitrogen™ PA5106915
Description
Antibody detects endogenous levels of total CD16.
CD16, known as Fc gamma receptor III, exists in two distinct isoforms: Fc gamma RIIIA and Fc gamma RIIIB. These isoforms are encoded by the genes FCGR3A and FCGR3B, respectively, which are located on chromosome 1 and share a high degree of similarity. Fc gamma RIIIA is expressed as a polypeptide-anchored form on monocytes, macrophages, and lymphocytes such as natural killer (NK) cells, but not on T or B cells. This receptor recognizes the Fc portion of immunoglobulin G (IgG) and is involved in the clearance of immune complexes from circulation. Upon binding IgG, Fc gamma RIIIA activates signal transduction pathways that result in antibody-dependent cell-mediated cytotoxicity (ADCC), phagocytosis, cytokine release, and antigen presentation. Fc gamma RIIIB is expressed on polymorphonuclear neutrophils (PMN) as a glycosylphosphatidylinositol (GPI)-anchored form. It plays a role in similar immune functions, including cellular-mediated cytotoxicity and enhancement of virus infections. Mutations in the FCGR3A gene have been associated with Immunodeficiency 20 and linked to susceptibility to recurrent viral infections, systemic lupus erythematosus, and alloimmune neonatal neutropenia. Alternatively spliced transcript variants encoding different isoforms have been identified for this gene. Diseases associated with FCGR3A include Immunodeficiency 20 and Herpes Zoster.
Specifications
| CD16 | |
| Polyclonal | |
| Unconjugated | |
| FCGR3A | |
| 4833442P21Rik; CD16; CD16-2; CD16A; CD16a antigen; CD16b; CD32; CD32 receptor 2; CDw32; cytolytic trigger molecule G7; Fc fragment of IgG intermediate affinity IV receptor; Fc fragment of IgG low affinity IIIa receptor; Fc fragment of IgG receptor IIIa; Fc fragment of IgG receptor IIIb; Fc fragment of IgG, low affinity III, receptor for (CD16); Fc fragment of IgG, low affinity IIIa, receptor; Fc fragment of IgG, low affinity IIIa, receptor (CD16a); Fc fragment of IgG, low affinity IIIa, receptor for (CD16); Fc fragment of IgG, low affinity IIIa, receptor for (CD16); Fc fragment of IgG, low affinity III, receptor for (CD16); Fc fragment of IgG, low affinity IIIb, receptor (CD16b); Fc gamma receptor III; Fc gamma receptor IIIa; Fc gamma receptor III-A; Fc gamma receptor IIIb; Fc gamma RIIIa; Fc gammaRIV; Fc receptor, IgG, low affinity III; Fc receptor, IgG, low affinity IV; Fc receptor-like 3; Fcg receptor III; FCG2; FCG3; Fc-gamma receptor III-2 (CD 16); Fc-gamma receptor IIIb (CD 16); Fc-gamma receptor IIIb (CD16); Fc-gamma RII-b; Fc-gamma RII-c; fc-gamma RIII; Fc-gamma RIIIa; Fc-gamma RIII-alpha; fc-gamma RIIIb; fc-gamma RIII-beta; Fc-gamma-RIIb; Fc-gamma-RIIc; FcgammaRIII; FcgammaRIII a.1; FcgammaRIII a.2; FcgammaRIII a.3; FcgammaRIIIA; FcgammaRIV; FCGR2; FCGR2A; FCGR2B; FCGR2C; FCGR3; Fcgr3a; FCGR3B; Fcgr4; FCGRIII; FcgRIV; FcR-10; FcRII-b; FcRII-c; FcRIII; FCRIIIA; FCRIIIb; Fcrl3; IGFR3; IgG Fc gamma receptor III; igG Fc receptor III; IgG Fc receptor III-1; igG Fc receptor III-2; IMD20; immunoglobulin G Fc receptor III; LOC100911825; Low affinity immunoglobulin gamma Fc region receptor III; low affinity immunoglobulin gamma Fc region receptor III-A; Low affinity immunoglobulin gamma Fc region receptor III-B; low affinity immunoglobulin gamma Fc region receptor III-like; Low affinity immunoglobulin gamma Fc region receptor IV; neutrophil-specific antigen NA; RP11-5K23.1; transmembrane receptor FcgammaRIII-X | |
| Rabbit | |
| Affinity chromatography | |
| RUO | |
| 14131, 2214, 2215, 246256, 304966 | |
| -20°C | |
| Liquid |
| Immunohistochemistry (Paraffin), Western Blot | |
| 1 mg/mL | |
| PBS with 50% glycerol and 0.02% sodium azide; pH 7.4 | |
| A0A0B4J1G0, O75015, P08508, P08637 | |
| Fcgr3, FCGR3A, FCGR3B, Fcgr4 | |
| A synthesized peptide derived from human FCGR3A(Accession P08637), corresponding to amino acid residues F219-K254. | |
| 100 μL | |
| Primary | |
| Human, Mouse, Rat | |
| Antibody | |
| IgG |
Safety and Handling
WARNING: Cancer - www.P65Warnings.ca.gov
Product Content Correction
Your input is important to us. Please complete this form to provide feedback related to the content on this product.
Product Title
Spot an opportunity for improvement?Share a Content Correction