Promotional price valid on web orders only. Your contract pricing may differ. Interested in signing up for a dedicated account number?
Learn More
Learn More
Invitrogen™ CD172a (SIRP alpha) Monoclonal Antibody (A3E3)

Mouse Monoclonal Antibody
Supplier: Invitrogen™ MA542407
This item is not returnable.
View return policy
Description
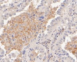
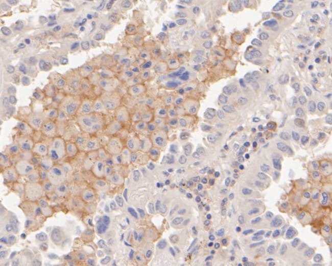
Positive Control: SW480 cell lysates, human lung cancer tissue, THP-1. Subcellular Location: Membrane.
SIRP alpha (CD172a, signal-regulatory protein alpha) is a receptor-type transmembrane glycoprotein expressed on cells of myeloid origin, including granulocytes, dendritic cells (DCs), macrophages, mast cells and hematopoietic stem cells. SIRP alpha acts as a substrate for several activated tyrosine kinases, including EGFR, PDGFR, src and insulin receptor and is involved in the negative regulation of receptor tyrosine kinase-coupled signaling pathways. The ligand binding of SIRP alpha to integrin-associated protein CD47 results in tyrosine kinase phosphorylation of immunoreceptor tyrosine-based inhibitory motifs (ITIMs) within the cytoplasmic region of SIRP alpha, which mediates the recruitment and activation of the tyrosine phosphatases SHP-1 and SHP-2. Ligation of SIRP alpha with CD47 has been demonstrated in several regulatory processes, including the inhibition of host cell phagocytosis by macrophages and the bi-directional activation of T cells and DCs. SIRP alpha has regulatory effects on cellular responses induced by serum, growth factors, insulin, oncogenes, growth hormones and cell adhesion, and plays a general role in different physiological and pathological processes. Cancer cells highly express CD47, which activates SIRP alpha and inhibits macrophage-mediated destruction of cancerous cell growth.
Specifications
CD172a (SIRP alpha) | |
Monoclonal | |
2 mg/mL | |
TBS with 0.2% BSA, 50% glycerol and 0.05% sodium azide; pH 7.4 | |
P78324 | |
SIRPA | |
Recombinant protein within human aa 1-400. | |
100 μL | |
Primary | |
Human | |
Antibody | |
IgG1 |
Flow Cytometry, Immunohistochemistry (Paraffin), Western Blot, Immunocytochemistry | |
A3E3 | |
Unconjugated | |
SIRPA | |
AI835480; Bit; brain Ig-like molecule with tyrosine-based activation motifs; Brain immunoglobulin like protein with tyrosine - based activation motifs; brain immunological-like with tyrosine-based motifs; brain-immunoglobulin-like molecule with tyrosine-based activation motifs; CD172; CD172 alpha; CD172 antigen-like family member A; CD172A; Inhibitory receptor SHPS-1; macrophage fusion receptor; Macrophage membrane protein MFP150; MFR; mSIRP-alpha1; Myd1; MYD-1; myD-1 antigen; p84; Protein tyrosine phosphatase non-receptor type substrate 1 (SHP substrate 1); protein tyrosine phosphatase, non-receptor type substrate 1; Protein tyrosine phosphatase, non-receptor type substrate 1 (SHP substrate 1); Ptpns1; SHP substrate 1; SHP-1; SHPS1; SHPS-1; signal regulatory protein alpha; signal-regulatory protein alpha; signal-regulatory protein alpha-1; Signal-regulatory protein alpha-2; Signal-regulatory protein alpha-3; SIRP; Sirpa; SIRPalpha; Sirp-alpha-1; SIRPalpha2; Sirp-alpha-2; Sirp-alpha-3; swc3; swine workshop cluster 3 antigen; swine workshop cluster 3 antigen precursor; tyrosine phosphatase SHP substrate 1; tyrosine-protein phosphatase non-receptor type substrate 1 | |
Mouse | |
Protein A | |
RUO | |
140885 | |
Store at 4°C short term. For long term storage, store at -20°C, avoiding freeze/thaw cycles. | |
Liquid |
Product Content Correction
Your input is important to us. Please complete this form to provide feedback related to the content on this product.
Product Title
Spot an opportunity for improvement?Share a Content Correction