Learn More
Invitrogen™ CD19 Recombinant Rabbit Monoclonal Antibody (109)

Description
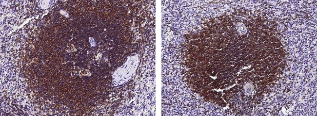
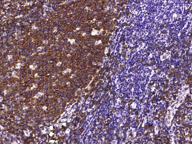
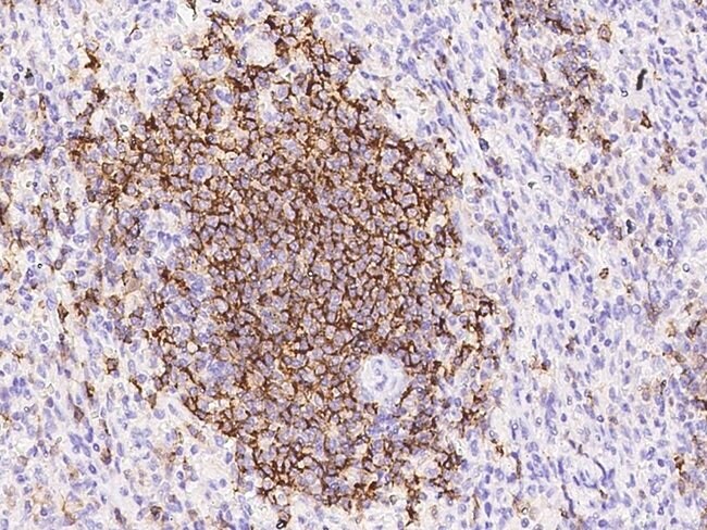
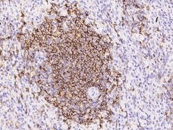
This product is preservative free. It is recommended to add sodium azide to avoid contamination (final concentration 0.05%-0.1%). Recombinant rabbit monoclonal antibodies are produced using in vitro expression systems. The expression systems are developed by cloning in the specific antibody DNA sequences from immunoreactive rabbits. Then, individual clones are screened to select the best candidates for production. The advantages of using recombinant rabbit monoclonal antibodies include: better specificity and sensitivity, lot-to-lot consistency, animal origin-free formulations, and broader immunoreactivity to diverse targets due to larger rabbit immune repertoire. This antibody has specificity for Human CD19.
Specifications
Specifications
| Antigen | CD19 |
| Applications | Immunohistochemistry (Paraffin) |
| Classification | Recombinant Monoclonal |
| Clone | 109 |
| Concentration | 1 mg/mL |
| Conjugate | Unconjugated |
| Formulation | PBS with no preservative |
| Gene | Cd19 |
| Gene Accession No. | P15391 |
| Gene Alias | AW495831; B4; B-lymphocyte antigen CD19; B-lymphocyte surface antigen B4; Cd19; CD19 antigen; CD19 molecule; CVID3; differentiation antigen CD19; Leu-12; T-cell surface antigen Leu-12 |
| Show More |
Safety and Handling
By clicking Submit, you acknowledge that you may be contacted by Fisher Scientific in regards to the feedback you have provided in this form. We will not share your information for any other purposes. All contact information provided shall also be maintained in accordance with our Privacy Policy.