Promotional price valid on web orders only. Your contract pricing may differ. Interested in signing up for a dedicated account number?
Learn More
Learn More
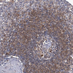
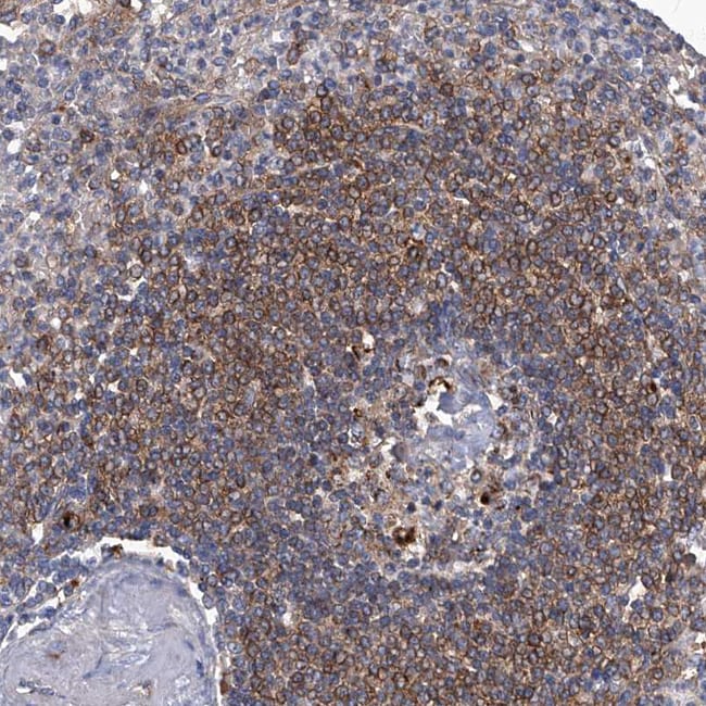
Invitrogen™ CD267 (TACI) Polyclonal Antibody

Rabbit Polyclonal Antibody
Supplier: Invitrogen™ PA5110998
Description
Immunogen sequence: ACFLKKRGDP CSCQPRSRPR QSPAKSSQDH AMEAGSPVST SPEPVETCSF CFPECRAPTQ ESAVTPGTPD PTCAGRWGCH TRTTVLQPCP HIPDSGLGIV CVPAQE.
Members in the TNF superfamily regulate immune responses and induce apoptosis. Two novel members in the TNF family were recently identified and designated BAFF/BLyS/TALL-1/THANK/zTNF4 and April/TALL-2, respectively. BAFF was characterized as a B cell activator since it induced B cell proliferation and immunoglobulin secretion. April regulates immunological and non-immunological cell growth. Three receptors, BCMA, TACI, and BAFF-R, for BAFF and April were recently identified. TACI, like BCMA, binds BAFF and April. TACI and its ligands regulate humoral immune responses, activate NF-kappa-B and c-jun N-terminal kinase, and are involved in B cell associated autoimmune diseases.
Specifications
| CD267 (TACI) | |
| Polyclonal | |
| Unconjugated | |
| TNFRSF13B | |
| 1200009E08Rik; CD267; CVID; CVID2; IGAD2; NEWGENE_1595998; RYZN; TACI; TNF receptor superfamily member 13B; Tnfrsf13b; TNFRSF14B; transmembrane activator and calcium-modulating and cyclophilin ligand interactor; transmembrane activator and CAML interactor; tumor necrosis factor receptor 13B; tumor necrosis factor receptor superfamily member 13B; tumor necrosis factor receptor superfamily, member 13B | |
| Rabbit | |
| Antigen affinity chromatography | |
| RUO | |
| 23495 | |
| Store at 4°C short term. For long term storage, store at -20°C, avoiding freeze/thaw cycles. | |
| Liquid |
| Immunohistochemistry (Paraffin), Western Blot | |
| 0.10 mg/mL | |
| PBS with 40% glycerol and 0.02% sodium azide; pH 7.2 | |
| O14836 | |
| TNFRSF13B | |
| Recombinant Protein corresonding to Human CD267 (TACI). Recombinant protein control fragment (Product #RP-102143). | |
| 100 μL | |
| Primary | |
| Human | |
| Antibody | |
| IgG |
Safety and Handling
WARNING: Cancer - www.P65Warnings.ca.gov
Product Content Correction
Your input is important to us. Please complete this form to provide feedback related to the content on this product.
Product Title
Spot an opportunity for improvement?Share a Content Correction