Learn More
Invitrogen™ CD36 Recombinant Rabbit Monoclonal Antibody (JJ2005)

Description
Recombinant rabbit monoclonal antibodies are produced using in vitro expression systems. The expression systems are developed by cloning in the specific antibody DNA sequences from immunoreactive rabbits. Then, individual clones are screened to select the best candidates for production. The advantages of using recombinant rabbit monoclonal antibodies include: better specificity and sensitivity, lot-to-lot consistency, animal origin-free formulations, and broader immunoreactivity to diverse targets due to larger rabbit immune repertoire.
Specifications
Specifications
| Antigen | CD36 |
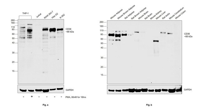
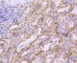
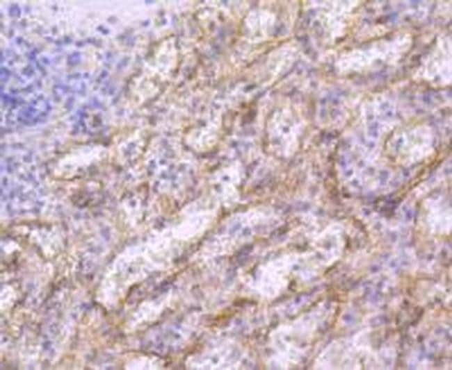
| Applications | Immunohistochemistry (Paraffin), Western Blot, Immunocytochemistry, Western Blot |
| Classification | Recombinant Monoclonal |
| Clone | JJ2005 |
| Concentration | 1.06 mg/mL |
| Conjugate | Unconjugated |
| Formulation | TBS with 0.05% BSA, 40% Glycerol and 0.05% sodium azide; pH 7.4 |
| Gene | CD36 |
| Gene Accession No. | P16671, Q07969, Q08857 |
| Gene Alias | adipocyte membrane protein; BDPLT10; Cd36; CD36 antigen; CD36 antigen (collagen type I receptor, thrombospondin receptor); CD36 molecule; CD36 molecule (thrombospondin receptor); CD36 protein; CHDS7; cluster determinant 36; collagen type I receptor thrombospondin receptor; collagen type I receptor, thrombospondin receptor; FAT; FAT/CD36; fatty acid translocase; fatty acid translocase/CD36; fatty acid transport protein; glycoprotein IIIb; GP3B; GP4; GPIIIB; GPIV; I79_011940; Leukocyte differentiation antigen CD36; PAS IV; PAS4; PAS-4; PAS-4 protein; PASIV; Platelet collagen receptor; Platelet glycoprotein 4; platelet glycoprotein IV; Scarb3; scavenger receptor class B, member 3; SR-B3; Thrombospondin receptor |
| Show More |
By clicking Submit, you acknowledge that you may be contacted by Fisher Scientific in regards to the feedback you have provided in this form. We will not share your information for any other purposes. All contact information provided shall also be maintained in accordance with our Privacy Policy.