Promotional price valid on web orders only. Your contract pricing may differ. Interested in signing up for a dedicated account number?
Learn More
Learn More
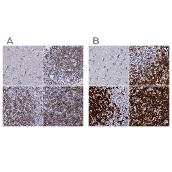
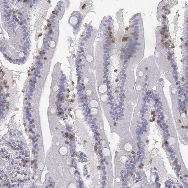
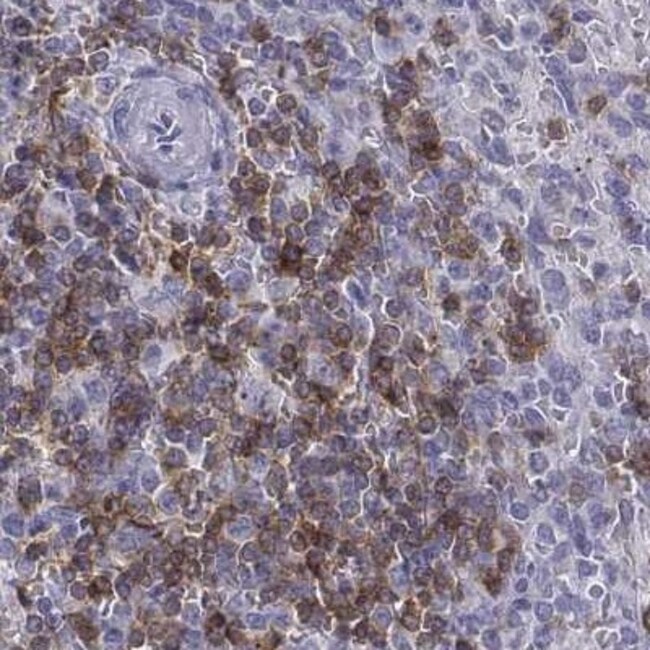
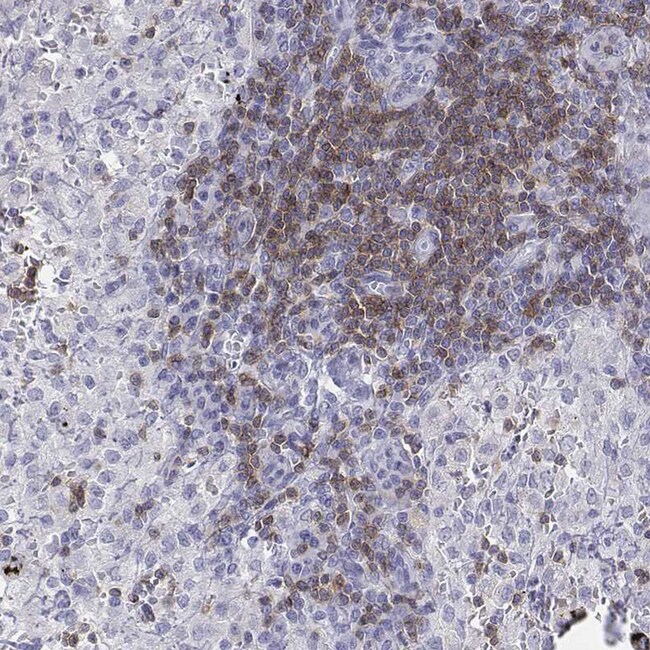
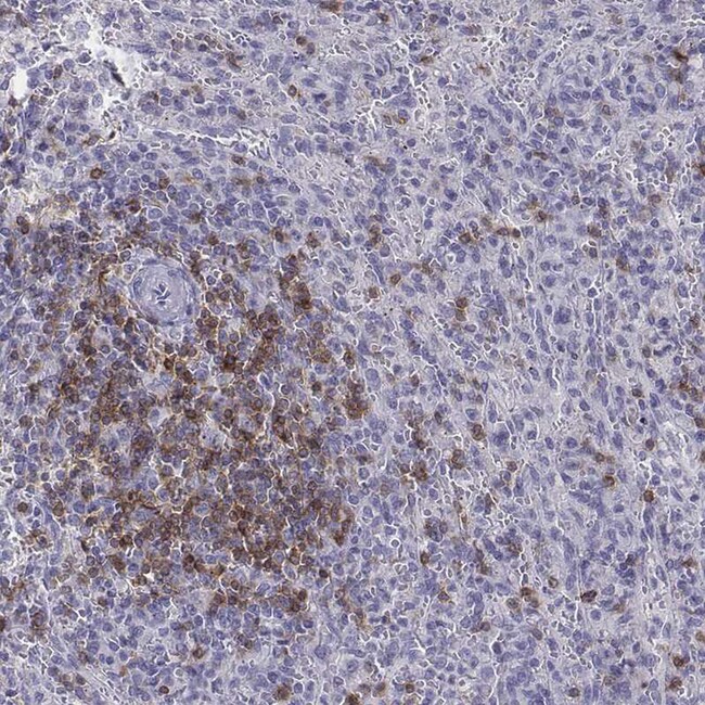
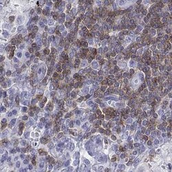
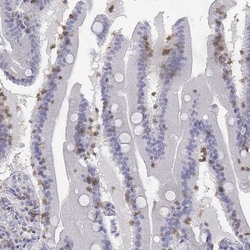
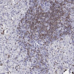
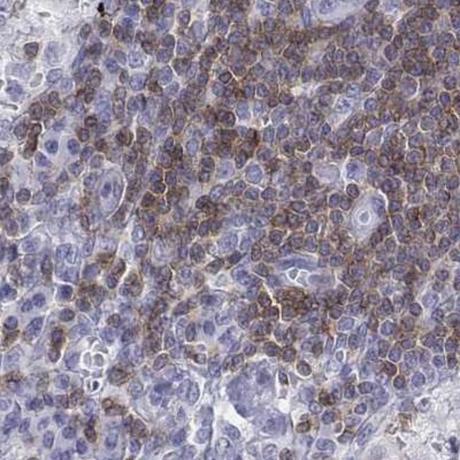
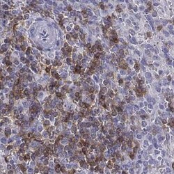
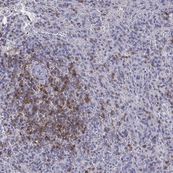
Invitrogen™ CD3e Polyclonal Antibody

Rabbit Polyclonal Antibody
Supplier: Invitrogen™ PA5111128
Description
Immunogen sequence: NEEMGGITQT PYKVSISGTT VILTCPQYPG SEILWQHNDK NIGGDEDDKN IGSDEDHLSL KEFSELEQSG YYVCYPRGSK PEDANFYLYL RARVCENCME MD.
The CD3 complex, composed of gamma, delta, epsilon, and zeta subunits, is essential for the assembly, trafficking, and surface expression of the T cell receptor (TCR) complex. These subunits are structurally related members of the immunoglobulin superfamily and are encoded by closely linked genes on human chromosome 11. CD3 is expressed by thymocytes in a developmentally regulated manner and by all mature T cells, but not on B or NK cells. The CD3 subunits play a crucial role in transducing antigen-recognition signals into the cytoplasm of T cells. The cytoplasmic tails of CD3 subunits contain a double tyrosine-based motif that associates with cytoplasmic signal transduction molecules, mediating T cell activation through the TCR. Crosslinking of the TCR initiates intracellular biochemical pathways that result in cellular activation, proliferation, and potentially growth arrest and cell survival. CD3 is present on 68-82% of normal peripheral blood lymphocytes, 65-85% of thymocytes, and Purkinje cells in the cerebellum. Decreased percentages of T lymphocytes may be observed in some autoimmune diseases. Defects in the CD3 gene are associated with CD3 immunodeficiency, highlighting its importance in immune function and regulation.
Specifications
| CD3e | |
| Polyclonal | |
| Unconjugated | |
| CD3g | |
| 4930549J05Rik; A430104F18Rik; AI504783; antigen CD3D, delta polypeptide (TiT3 complex); antigen CD3E, epsilon polypeptide (TiT3 complex); antigen CD3G, gamma polypeptide; antigen CD3Z, zeta polypeptide; AW552088; Cd247; CD247 antigen; CD247 antigen, zeta subunit; Cd247 molecule; CD3; CD3 antigen delta chain; CD3 antigen delta polypeptide; CD3 antigen gamma chain; CD3 antigen, delta polypeptide; CD3 antigen, delta subunit; CD3 antigen, epsilon polypeptide; CD3 antigen, gamma polypeptide; CD3 antigen, zeta polypeptide; CD3 delta; CD3 epsilon; CD3 epsilon chain; CD3 epsilon subunit; CD3 epsilon subunit precursor; CD3 gamma-chain; CD3 glycoprotein; CD3 glycoprotein precursor; CD3 molecule delta polypeptide; CD3 molecule, delta; CD3 molecule, epsilon; CD3 molecule, epsilon polypeptide; CD3 molecule, gamma; CD3 molecule, gamma polypeptide; CD3 protein; CD3 TCR complex; CD3 type I transmembrane glycoprotein; CD3 type I transmembrane glycoprotein precursor; CD3 zeta chain; Cd3d; CD3D antigen delta; CD3D antigen, delta polypeptide (TiT3 complex); CD3d molecule; CD3d molecule, delta (CD3-TCR complex); CD3-DELTA; Cd3e; CD3E antigen, epsilon polypeptide; CD3E antigen, epsilon polypeptide (TiT3 complex); CD3e molecule; CD3e molecule, epsilon (CD3-TCR complex); CD3epsilon; CD3-epsilon; Cd3-eta; Cd3g; CD3G antigen, gamma polypeptide; CD3g antigen, gamma polypeptide (TiT3 complex); CD3g molecule; CD3g molecule, epsilon (CD3-TCR complex); CD3g molecule, gamma (CD3-TCR complex); CD3-GAMMA; Cd3h; CD3Q; Cd3z; CD3Z antigen, zeta polypeptide (TiT3 complex); Cd3zeta; Cd3-zeta; CD3zeta chain; CD3-zeta/eta; Ctg3; Ctg-3; FLJ18683; IMD17; IMD18; IMD19; IMD25; Leu-4; OKT3, delta chain; T cell antigen receptor complex epsilon subunit of T3; T3/TCR complex; T3d; T3e; T3g; T3Z; T-cell antigen receptor complex, epsilon subunit of T3; T-cell antigen receptor complex, gamma subunit of T3; T-cell antigen receptor complex, zeta subunit of CD3; T-cell receptor CD3 epsilon chain; T-cell receptor CD3 epsilon subunit; T-cell receptor CD3 subunit zeta; T-cell receptor CD3, subunit zeta; T-cell receptor T3 delta chain; T-cell receptor T3 eta chain; T-cell receptor T3 gamma chain; T-cell receptor T3 zeta chain; T-cell receptor zeta chain; T-cell surface antigen T3/Leu-4 epsilon chain; T-cell surface glycoprotein CD3 delta chain; T-cell surface glycoprotein CD3 epsilon chain; T-cell surface glycoprotein CD3 gamma chain; T-cell surface glycoprotein CD3 zeta chain; T-cell surface protein; TcR CD3 delta-chain; TcR CD3 gamma-chain; TCR zeta chain; TCR zeta chain subunit; TCRE; Tcrk; TCRZ; TCRzeta; TiT3 complex; type I transmembrane protein; T-cell surface molecule CD3 | |
| Rabbit | |
| Antigen affinity chromatography | |
| RUO | |
| 915, 916, 917, 919 | |
| Store at 4°C short term. For long term storage, store at -20°C, avoiding freeze/thaw cycles. | |
| Liquid |
| Immunohistochemistry (Paraffin), Western Blot | |
| 0.4 mg/mL | |
| PBS with 40% glycerol and 0.02% sodium azide; pH 7.2 | |
| P04234, P07766, P09693, P20963 | |
| Cd247, Cd3d, CD3E, CD3g | |
| Recombinant Protein corresonding to Human CD3e. Recombinant protein control fragment (Product #RP-102902). | |
| 100 μL | |
| Primary | |
| Human | |
| Antibody | |
| IgG |
Product Content Correction
Your input is important to us. Please complete this form to provide feedback related to the content on this product.
Product Title
Spot an opportunity for improvement?Share a Content Correction