Learn More
Invitrogen™ CD68 Monoclonal Antibody (815CU17), Biotin, eBioscience™

Description
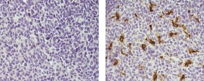
This 815CU17 monoclonal antibody reacts with human CD68, a 110 kDa, transmembrane glycoprotein that belongs to the sialomucin family and is closely related to the lysosomal-associated membrane proteins (LAMP) and scavenger receptor. CD68 is predominantly an intracellular protein, found mainly in the late endosomal compartment but can be detected in smaller amounts on the surface of mainly myeloid-derived cells: monocytes, macrophages, dendritic cells (and in some langerhans cells), neutrophils, basophils, mast cells, myeloid progenitor cells, and a subset of CD34+ hematopoietic bone marrow progenitor cells. The function has not been fully elucidated but based on homology and structure, CD68 may play a role in antigen processing or presentation and protection of the lysosomal membrane from hydrolytic enzymes. Reports have also shown expression in activated T cells, and about 40% of peripheral blood B lymphocytes and 50% of all B-ALL. This 815CU17 antibody does not cross-react with mouse or rat CD68. For flow cytometric analysis of human CD68, we recommend clone eBioY1/82A. Applications Reported: This 815CU17 antibody has been reported for use in western blotting, immunohistochemical staining of formalin-fixed paraffin embedded tissue sections, and microscopy. Applications Tested: This 815CU17 antibody has been tested by immunohistochemistry of formalin-fixed paraffin embedded human tissue using low or high pH antigen retrieval and can be used at less than or eq...
Specifications
Specifications
| Antigen | CD68 |
| Applications | Immunohistochemistry (Paraffin), Western Blot |
| Classification | Monoclonal |
| Clone | 815CU17 |
| Concentration | 0.5 mg/mL |
| Conjugate | Biotin |
| Formulation | PBS with 0.09% sodium azide; pH 7.2 |
| Gene | Cd68 |
| Gene Accession No. | P34810 |
| Gene Alias | CD68; CD68 antigen; CD68 molecule; GP110; Lamp4; macrophage antigen CD68; macrosialin; Scard1; scavenger receptor class D, member 1; similar to CD68 antigen |
| Show More |
By clicking Submit, you acknowledge that you may be contacted by Fisher Scientific in regards to the feedback you have provided in this form. We will not share your information for any other purposes. All contact information provided shall also be maintained in accordance with our Privacy Policy.