Promotional price valid on web orders only. Your contract pricing may differ. Interested in signing up for a dedicated account number?
Learn More

Invitrogen™ CD70 Recombinant Rabbit Monoclonal Antibody (CD70-Clone 13)

Catalog No. 704974
Encompass_Preferred
Change view
Click to view available options
Quantity:
100 μL
1 product options available for selection
Product selection table with 1 available options. Use arrow keys to navigate and Enter or Space to select.
Catalog No. Quantity
70-497-4 100 μL
Use arrow keys to navigate between rows. Press Enter or Space to select a product option. 1 options available.
1 options
Catalog No. 70-497-4 Supplier Invitrogen™ Supplier No. 704974
Only null left
Add to Cart
Edge
Add to Cart

Rabbit Recombinant Monoclonal Antibody

Recombinant Rabbit monoclonal antibodies are produced using in vitro expression systems. Recombinant antibodies are produced using specific genes that code for the desired antibodies. These genes are cloned into an expression vector and expressed in vitro. The advantages of recombinant antibodies include better specificity and lot-to-lot consistency. It is recommended that the antibody be carefully titrated for optimal performance in the assay of interest.

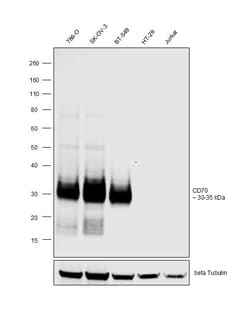
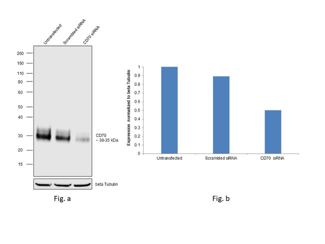
The protein encoded by this gene is a cytokine that belongs to the tumor necrosis factor (TNF) ligand family. This cytokine is a ligand for TNFRSF27/CD27. It is a surface antigen on activated, but not on resting, T and B lymphocytes. It induces proliferation of costimulated T cells, enhances the generation of cytolytic T cells, and contributes to T cell activation. This cytokine is also reported to play a role in regulating B-cell activation, cytotoxic function of natural killer cells, and immunoglobulin synthesis.
TRUSTED_SUSTAINABILITY

Specifications

Antigen CD70
Applications Flow Cytometry, Immunohistochemistry (Paraffin), Western Blot, Immunocytochemistry
Classification Recombinant Monoclonal
Clone CD70-Clone 13
Concentration 1 mg/mL
Conjugate Unconjugated
Formulation PBS with 0.09% sodium azide; pH 7.4
Gene Cd70
Gene Accession No. P32970
Gene Alias CD27 ligand; Cd27l; CD27-L; CD27LG; CD70; CD70 antigen; Cd70 molecule; Ki-24 antigen; surface antigen CD70; Tnfsf7; TNLG8A; tumor necrosis factor (ligand) superfamily, member 7; tumor necrosis factor ligand 8A; tumor necrosis factor ligand superfamily member 7
Gene Symbols Cd70
Host Species Rabbit
Immunogen Protein corresponding to human CD70 [aa39-aa193].
Purification Method Protein A
Quantity 100 μL
Regulatory Status RUO
Primary or Secondary Primary
Gene ID (Entrez) 970
Target Species Human
Content And Storage Store at 4°C short term. For long term storage, store at -20°C, avoiding freeze/thaw cycles.
Product Type Antibody
Form Liquid
Isotype IgG
Show More Show Less
Product Title
Select an issue

By clicking Submit, you acknowledge that you may be contacted by Fisher Scientific in regards to the feedback you have provided in this form. We will not share your information for any other purposes. All contact information provided shall also be maintained in accordance with our Privacy Policy.