Promotional price valid on web orders only. Your contract pricing may differ. Interested in signing up for a dedicated account number?
Learn More

CDC2L5 Rabbit anti-Human, Polyclonal, Bethyl Laboratories

Rabbit Polyclonal Antibody

Supplier:  Bethyl Laboratories, Inc A301458A

Encompass_Preferred

Catalog No. 50-156-0445


May include imposed supplier surcharges.
Only null left
Add to Cart

Description

Description

The recommended shelf life for this product is 1 year from date of receipt. Based on 100% sequence identity, this antibody is predicted to react with Mouse and Bovine

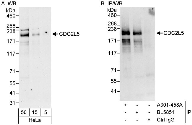
The protein encoded by this gene is a member of the cyclin-dependent serine/threonine protein kinase family. Members of this family are well known for their essential roles as master switches in cell cycle control. Some of the cell cycle control kinases are able to phosphorylate proteins that are important for cell differentiation and apoptosis, thus provide connections between cell proliferation, differentiation, and apoptosis. Proteins of this family may also be involved in non-cell cycle-related functions, such as neurocytoskeleton dynamics. The exact function of this protein has not yet been determined. It has unusually large N- and C-termini and is ubiquitously expressed in many tissues. Two alternatively spliced variants are described.
Specifications

Specifications

CDC2L5
Polyclonal
Unconjugated
CDK13
CDC2L, CDC2L5, CHED, hCDK13, CDC2-related protein kinase 5, cell division cycle 2-like protein kinase 5, cell division protein kinase 13, cholinesterase-related cell division controller
Rabbit
Antigen affinity chromatography
RUO
8621
4° C
Liquid
Immunoprecipitation, Western Blot
0.2 mg/ml
TBS with 0.1% BSA and 0.09% sodium azide
Q14004
CDK13
Between 1125 and 1175
100 μL
Primary
Human
Antibody
IgG
Product Suggestions

Product Suggestions

Videos
SDS
Documents

Documents

Product Certifications
Promotions

Promotions

Product Content Correction

The Fisher Scientific Encompass Program offers items which are not part of our distribution portfolio. These products typically do not have pictures or detailed descriptions. However, we are committed to improving your shopping experience. Please use the form below to provide feedback related to the content on this product.

Product Title

By clicking Submit, you acknowledge that you may be contacted by Fisher Scientific in regards to the feedback you have provided in this form. We will not share your information for any other purposes. All contact information provided shall also be maintained in accordance with our Privacy Policy.

Your feedback has been submitted: Thank you for helping us improve our website.