Learn More
Invitrogen™ CEP164 Polyclonal Antibody

Description
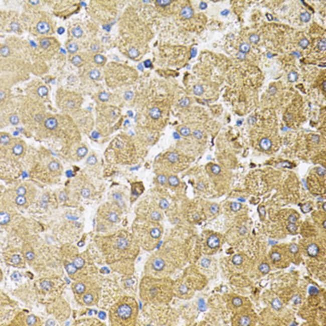
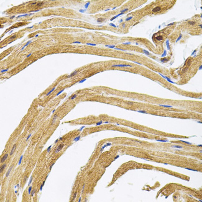
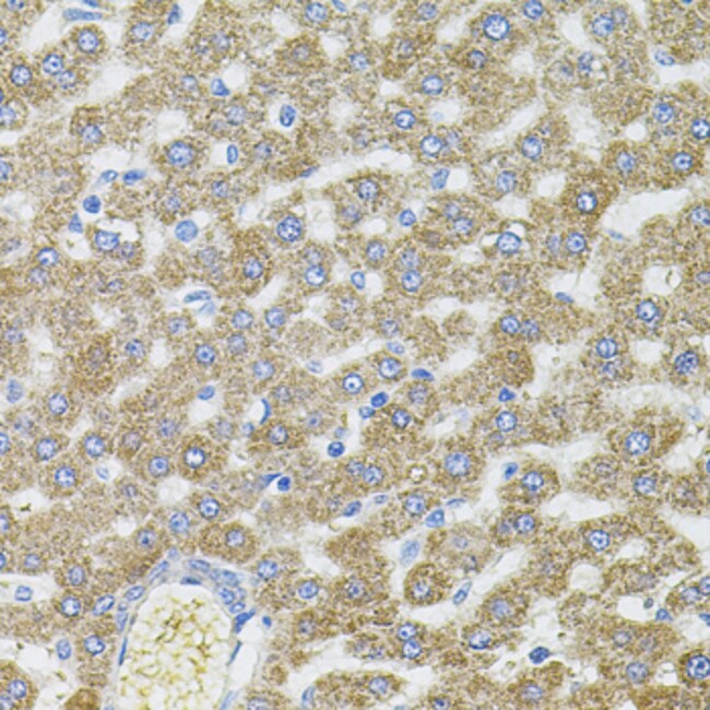
CEP164 Polyclonal Antibody for ELISA, IHC (P), Western Blot
Specifications
Specifications
| Antigen | CEP164 |
| Applications | ELISA, Immunohistochemistry (Paraffin), Western Blot |
| Classification | Polyclonal |
| Concentration | 0.55 mg/mL |
| Conjugate | Unconjugated |
| Formulation | PBS with 50% glycerol and 0.02% sodium azide; pH 7.3 |
| Gene | CEP164 |
| Gene Accession No. | Q5DU05, Q9UPV0 |
| Gene Alias | AI450905; BC027092; ce164; centrosomal protein 164; centrosomal protein 164kDa; centrosomal protein of 164 kDa; Cep 164; CEP164; D030051D21; KIAA1052; mKIAA1052; NPHP15; RGD1560988; RGD1561243 |
| Gene Symbols | CEP164 |
| Show More |
By clicking Submit, you acknowledge that you may be contacted by Fisher Scientific in regards to the feedback you have provided in this form. We will not share your information for any other purposes. All contact information provided shall also be maintained in accordance with our Privacy Policy.