Promotional price valid on web orders only. Your contract pricing may differ. Interested in signing up for a dedicated account number?
Learn More
Learn More
Invitrogen™ CHD1L Polyclonal Antibody

Rabbit Polyclonal Antibody
Supplier: Invitrogen™ PA555940
Description
Immunogen sequence: GSRDQEEGKN HMYLFEGKDY SKEPSKEDRK SFEQLVNLQK TLLEKASQEG RSLRNKGSVL IPGLVEGSTK RKRVLSPEEL EDRQKKRQEA AAKRRRLIEE KKR Highest antigen sequence identity to the following orthologs: Mouse - 76%, Rat - 78%.
In response to DNA strand breaks, chromatin adopts a relaxed structure due to the addition of poly(ADP-ribose) (PAR) to chromatin proteins by PARP enzymes (see PARP1; MIM 173870), and this relaxation facilitates the repair of DNA damage. CHD1L interacts with PAR and has a role in chromatin relaxation following DNA damage (Ahel et al., 2009 [PubMed 19661379]).
Specifications
| CHD1L | |
| Polyclonal | |
| Unconjugated | |
| CHD1L | |
| 4432404A22Rik; ALC1; amplified in liver cancer 1; amplified in liver cancer protein 1; CHD1L; CHDL; chromodomain helicase DNA binding protein 1 like; chromodomain helicase DNA binding protein 1-like; chromodomain-helicase-DNA-binding protein 1-like; LOW QUALITY PROTEIN: chromodomain-helicase-DNA-binding protein 1-like; Snf2p; Unknown (protein for MGC:128792) | |
| Rabbit | |
| Antigen affinity chromatography | |
| RUO | |
| 9557 | |
| Store at 4°C short term. For long term storage, store at -20°C, avoiding freeze/thaw cycles. | |
| Liquid |
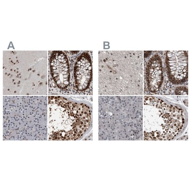
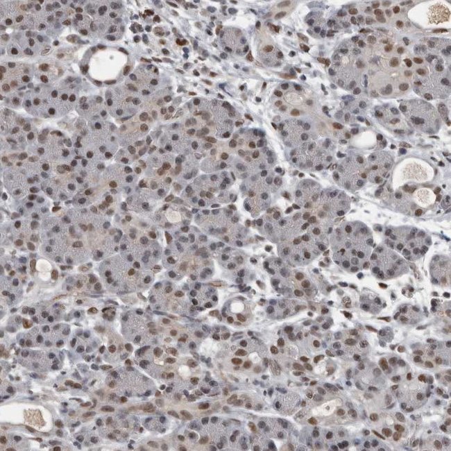
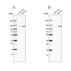
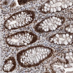
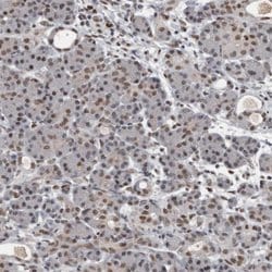
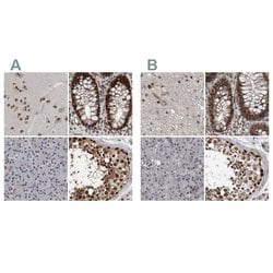
| Immunohistochemistry (Paraffin), Western Blot, Immunocytochemistry | |
| 0.50 mg/mL | |
| PBS with 40% glycerol and 0.02% sodium azide; pH 7.2 | |
| Q86WJ1 | |
| CHD1L | |
| Recombinant protein corresponding to Human CHD1L. Recombinant protein control fragment (Product #RP-94193). | |
| 100 μL | |
| Primary | |
| Human | |
| Antibody | |
| IgG |
Safety and Handling
WARNING: Cancer - www.P65Warnings.ca.gov
Product Content Correction
Your input is important to us. Please complete this form to provide feedback related to the content on this product.
Product Title
Spot an opportunity for improvement?Share a Content Correction