Learn More
Invitrogen™ Chitotriosidase Polyclonal Antibody

Description
The antibody was affinity-purified from rabbit antiserum by affinity-chromatography using epitope-specific immunogen and the purity is > 95% (by SDS-PAGE).
Specifications
Specifications
| Antigen | Chitotriosidase |
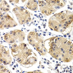
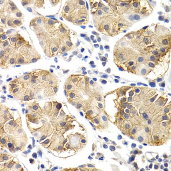
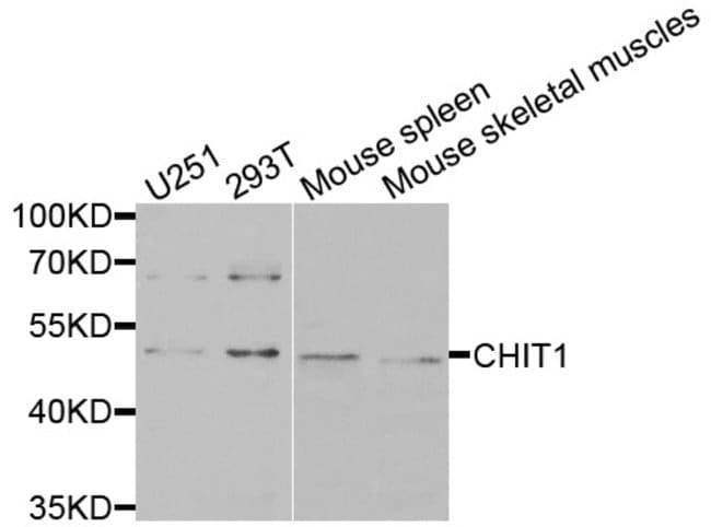
| Applications | Immunohistochemistry (Paraffin), Western Blot |
| Classification | Polyclonal |
| Concentration | 1 mg/mL |
| Conjugate | Unconjugated |
| Formulation | PBS with 50% glycerol and 0.02% sodium azide; pH 7.2 |
| Gene | CHIT1 |
| Gene Accession No. | Q13231, Q9D7Q1 |
| Gene Alias | 2300002L19Rik; CHI3; CHIT; Chit1; CHITD; chitinase 1; chitinase 1 (chitotriosidase); chitinase-1; Chitotriosidase; Chitotriosidase-1; EC 3.2.1.14; FLJ00314; MGC125322; plasma methylumbelliferyl tetra-N-acetylchitotetraoside hydrolase |
| Gene Symbols | CHIT1 |
| Show More |
By clicking Submit, you acknowledge that you may be contacted by Fisher Scientific in regards to the feedback you have provided in this form. We will not share your information for any other purposes. All contact information provided shall also be maintained in accordance with our Privacy Policy.