Learn More
Invitrogen™ CHM Polyclonal Antibody

Description
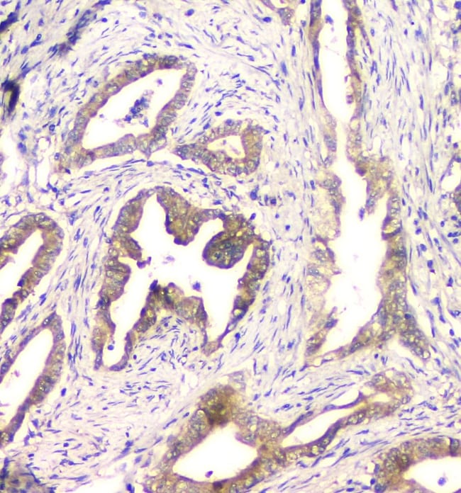
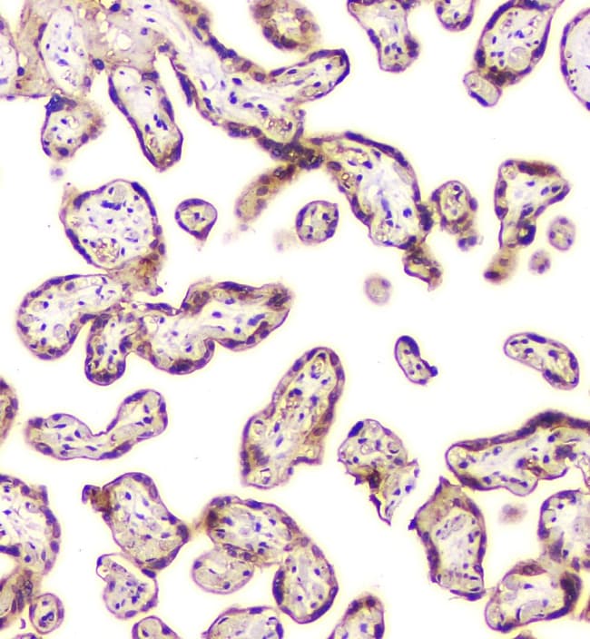
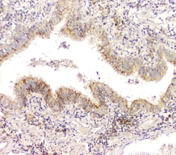
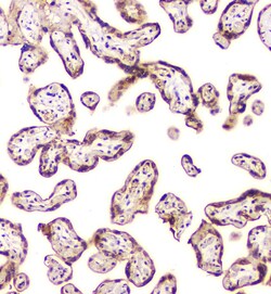
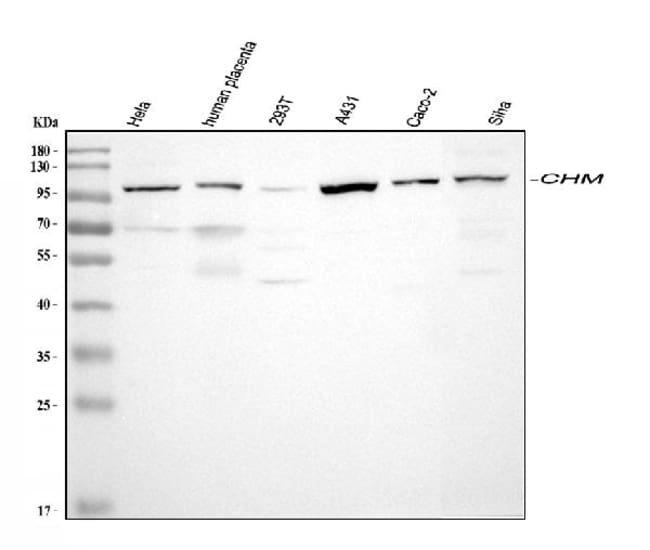
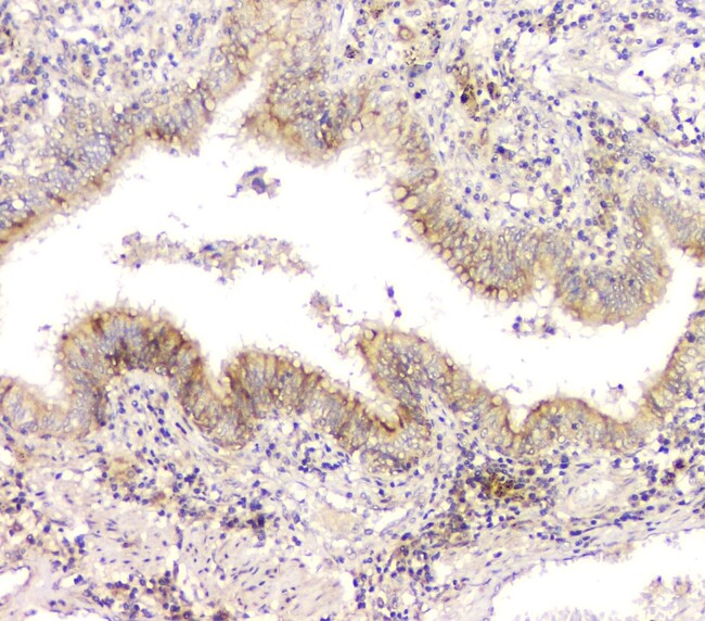
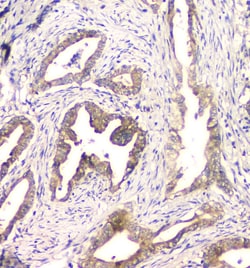
Reconstitute with 0.2 mL of distilled water to yield a concentration of 500 μg/mL. Positive Control - WB: human Hela whole cell, human placenta tissue, human 293T whole cell, human A431 whole cell, human CACO-2 whole cell, human SiHa whole cell. IHC: human prostate cancer tissue, human thyroid cancer tissue, human tonsil tissue. ICC/IF: SiHa cell. Flow: U937 cell. Store at -20°C for one year from date of receipt. After reconstitution, at 4°C for one month. It can also be aliquotted and stored frozen at -20°C for six months. Avoid repeated freeze-thaw cycles.
Specifications
Specifications
| Antigen | CHM |
| Applications | Flow Cytometry, Immunohistochemistry (Paraffin), Western Blot, Immunocytochemistry |
| Classification | Polyclonal |
| Concentration | 500 μg/mL |
| Conjugate | Unconjugated |
| Formulation | PBS with 4mg trehalose and no preservative |
| Gene | CHM |
| Gene Accession No. | P24386 |
| Gene Alias | CHM; CHM, Rab escort protein 1; choroideraemia protein homolog; choroideremia (Rab escort protein 1); Choroideremia protein; Choroideremia protein homolog; choroidermia; choroidermia (RAB escort protein 1); DXS540; GGTA; HSD-32; Rab escort protein 1; rab proteins geranylgeranyltransferase component A 1; REP1; REP-1; TCD; TCD protein |
| Gene Symbols | CHM |
| Show More |
By clicking Submit, you acknowledge that you may be contacted by Fisher Scientific in regards to the feedback you have provided in this form. We will not share your information for any other purposes. All contact information provided shall also be maintained in accordance with our Privacy Policy.