Promotional price valid on web orders only. Your contract pricing may differ. Interested in signing up for a dedicated account number?
Learn More
Learn More
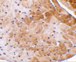
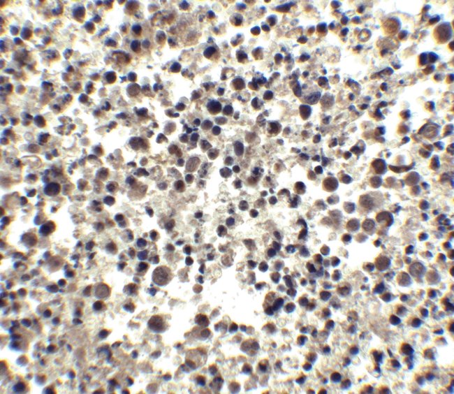
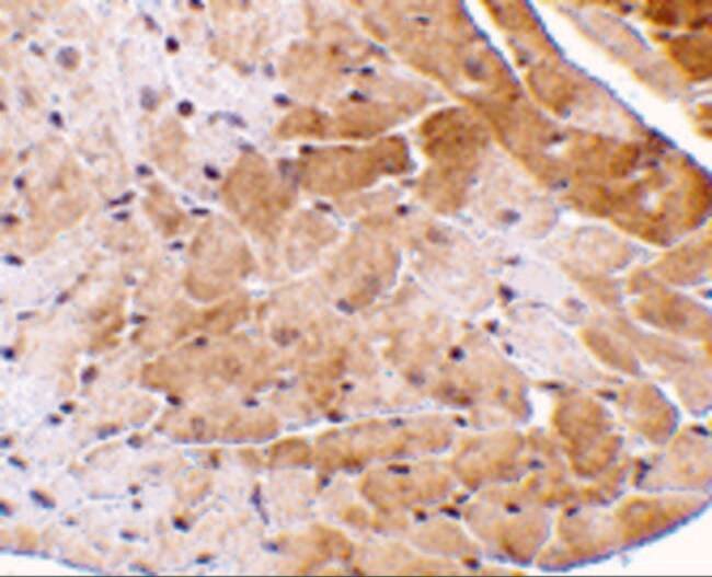
Invitrogen™ CIDEA Polyclonal Antibody

Rabbit Polyclonal Antibody
Supplier: Invitrogen™ PA519908
Description
In Western blot applications, this antibody detects a band at ~25kDa. A suggested positive control is mouse heart tissue lysate. PA5-19908 can be used with blocking peptide PEP-0034.
This gene encodes the homolog of the mouse protein Cidea that has been shown to activate apoptosis. This activation of apoptosis is inhibited by the DNA fragmentation factor DFF45 but not by caspase inhibitors. Mice that lack functional Cidea have higher metabolic rates, higher lipolysis in brown adipose tissue and higher core body temperatures when subjected to cold. These mice are also resistant to diet-induced obesity and diabetes. This suggests that in mice this gene product plays a role in thermogenesis and lipolysis. Alternatively spliced transcripts have been identified.
Specifications
| CIDEA | |
| Polyclonal | |
| Unconjugated | |
| CIDEA | |
| AW212747; cell death activator CIDE-A; Cell death-inducing DFFA-like effector A; cell death-inducing DNA fragmentation factor, alpha subunit-like effector A; cide a; Cidea; CIDE-A | |
| Rabbit | |
| Antigen Affinity Chromatography | |
| RUO | |
| 12683 | |
| 4°C | |
| Liquid |
| Immunohistochemistry, Western Blot, Immunocytochemistry | |
| 1 mg/mL | |
| PBS with 0.02% sodium azide | |
| O70302 | |
| CIDEA | |
| A peptide corresponding to amino acids 200 to 214 of mouse CIDE-A. | |
| 100 μg | |
| Primary | |
| Mouse | |
| Antibody | |
| IgG |
Safety and Handling
WARNING: Cancer - www.P65Warnings.ca.gov
Product Content Correction
Your input is important to us. Please complete this form to provide feedback related to the content on this product.
Product Title
Spot an opportunity for improvement?Share a Content Correction