Learn More
CISD1 Mouse anti-Human, Clone: OTI4G3, lyophilized, TrueMAB™

Mouse Monoclonal Antibody
Supplier: OriGene CF500927
Description
Reconstitute with PBS (pH 7.3) and recommend to perform another round of desalting process using Product No. 7KMWCO
This gene encodes a protein with a CDGSH iron-sulfur domain and has been shown to bind a redox-active [2Fe-2S] cluster. The encoded protein has been localized to the outer membrane of mitochondria and is thought to play a role in regulation of oxidation. Genes encoding similar proteins are located on chromosomes 4 and 17, and a pseudogene of this gene is located on chromosome 2.Specifications
| CISD1 | |
| Monoclonal | |
| Unconjugated | |
| CISD1 | |
| C10orf70, MDS029, ZCD1, mitoNEET | |
| Mouse | |
| Affinity Chromatography | |
| RUO | |
| 55847 | |
| -20° C, Avoid Freeze/Thaw Cycles | |
| Lyophilized |
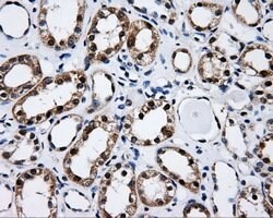
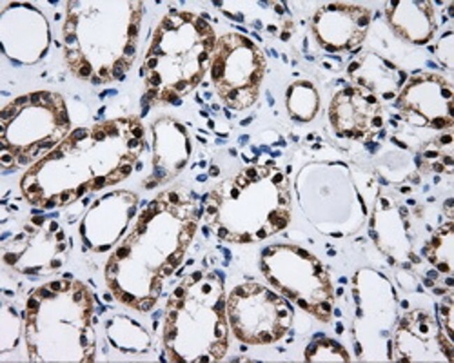
| Immunocytochemistry, Immunofluorescence, Immunohistochemistry (Paraffin), Western Blot | |
| OTI4G3 | |
| PBS with 8% trehalose and no preservative; pH 7.3 | |
| Q9NZ45 | |
| CISD1 | |
| Full length human recombit protein of human CISD1 produced in HEK293T cell. | |
| 100 μg | |
| Primary | |
| Human | |
| Antibody | |
| IgG1 |
The Fisher Scientific Encompass Program offers items which are not part of our distribution portfolio. These products typically do not have pictures or detailed descriptions. However, we are committed to improving your shopping experience. Please use the form below to provide feedback related to the content on this product.