Promotional price valid on web orders only. Your contract pricing may differ. Interested in signing up for a dedicated account number?
Learn More
Learn More
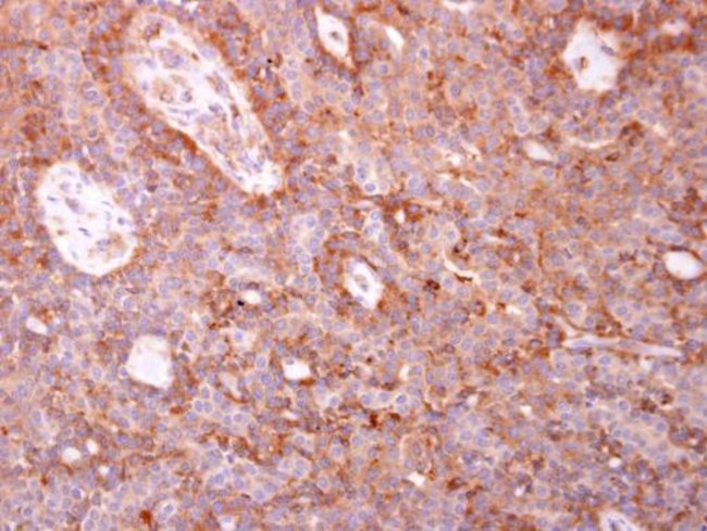
Invitrogen™ Coronin 3 Polyclonal Antibody

Rabbit Polyclonal Antibody
Supplier: Invitrogen™ PA530479
Description
Recommended positive controls: A549, HeLa, HepG2, HCT116, NIH-3T3, mouse brain. Predicted reactivity: Mouse (92%), Rat (96%), Chicken (91%), Rhesus Monkey (98%), Bovine (96%). Store product as a concentrated solution. Centrifuge briefly prior to opening the vial.
Coronin 3 is associated with the aggression and metastasis of hepatocellular carcinoma. Coronins are a family of highly evolutionary conserved proteins reportedly involved in the regulation of actin cytoskeletal dynamics, although only coronin 3 has been shown to be related to cancer cell migration.
Specifications
Coronin 3 | |
Polyclonal | |
Unconjugated | |
Coro1c | |
AL022675; AW455561; AW548837; Coro1c; coronin 1c; coronin 3; coronin, actin binding protein 1C; coronin, actin binding protein, 1C; coronin, actin-binding protein, 1C; coronin-1C; Coronin-3; CRN2; CRNN4; hCRNN4; RGD1564490 | |
Rabbit | |
Antigen affinity chromatography | |
RUO | |
23603, 23790 | |
Store at 4°C short term. For long term storage, store at -20°C, avoiding freeze/thaw cycles. | |
Liquid |
Immunohistochemistry (Paraffin), Western Blot, Immunocytochemistry | |
1 mg/mL | |
0.1M tris glycine with 20% glycerol and 0.01% thimerosal; pH 7 | |
Q9ULV4, Q9WUM4 | |
Coro1c | |
Recombinant protein encompassing a sequence within the C-terminus region of human Coronin 1C. The exact sequence is proprietary. | |
100 μL | |
Primary | |
Human, Mouse | |
Antibody | |
IgG |
Safety and Handling
WARNING: Cancer - www.P65Warnings.ca.gov
Product Content Correction
Your input is important to us. Please complete this form to provide feedback related to the content on this product.
Product Title
Spot an opportunity for improvement?Share a Content Correction