Learn More
Invitrogen™ Coronin 6 Polyclonal Antibody

Description
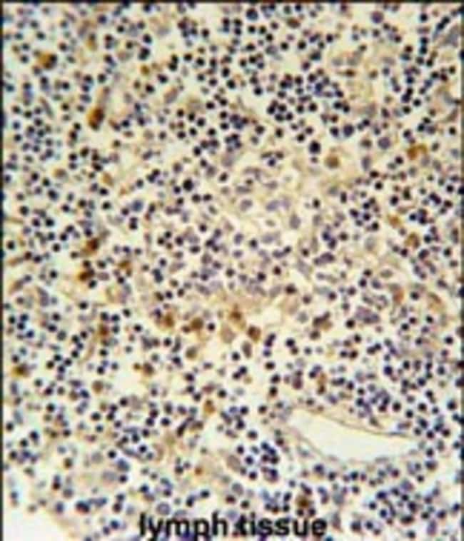
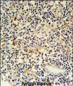
Coronin 6 Polyclonal Antibody for Western Blot, IHC (P), Flow
Specifications
Specifications
| Antigen | Coronin 6 |
| Applications | Flow Cytometry, Immunohistochemistry (Paraffin), Western Blot |
| Classification | Polyclonal |
| Concentration | 0.5 mg/mL |
| Conjugate | Unconjugated |
| Formulation | PBS with 0.09% sodium azide; pH 7.4 |
| Gene | CORO6 |
| Gene Accession No. | Q6QEF8, Q920M5 |
| Gene Alias | clipin E; clipin-E; Coro6; coronin 6; coronin 6/clipin E type D; coronin relative protein; coronin, actin binding protein 6; coronin-6; Coronin-like protein E; PP1009; PP1782; PP1881 |
| Gene Symbols | CORO6 |
| Show More |
Safety and Handling
By clicking Submit, you acknowledge that you may be contacted by Fisher Scientific in regards to the feedback you have provided in this form. We will not share your information for any other purposes. All contact information provided shall also be maintained in accordance with our Privacy Policy.