Promotional price valid on web orders only. Your contract pricing may differ. Interested in signing up for a dedicated account number?
Learn More
Learn More
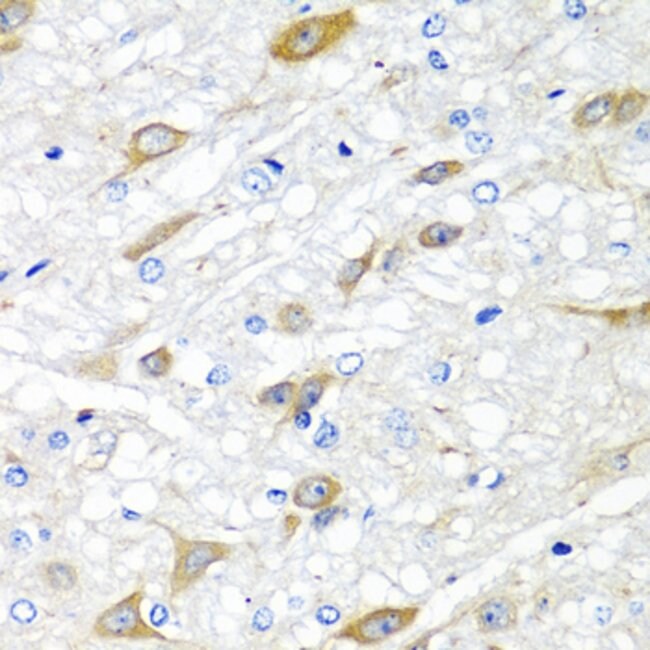
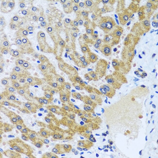
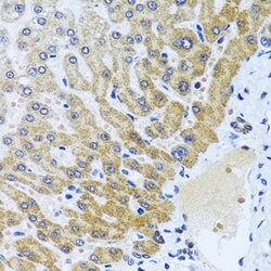
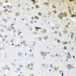
Invitrogen™ CPA6 Polyclonal Antibody

Rabbit Polyclonal Antibody
Supplier: Invitrogen™ PA576949
Description
The antibody was affinity-purified from rabbit antiserum by affinity-chromatography using epitope-specific immunogen and the purity is > 95% (by SDS-PAGE).
Members of the M14 metallocarboxypeptidase protein family serve many diverse functions and are divided into three subfamilies based on structure, function and amino acid sequence similarity. As a member of the A/B subfamily, CPA6 (Carboxypeptidase A6) is a 437 amino acid secreted, zinc-binding protein that contains a characteristic propetide at the amino terminus, which is cleaved off upon enzyme activation. Although expressed broadly in embryonic tissues, CPA6 is found at highest levels in the adult olfactory bulb and epididymus. CPA6 functions to cleave large C-terminal hydrophobic residues off of proteins and protein substrates and is likely involved in the extracellular processing of neuropeptides. Mutations in the gene encoding CPA6 have been linked to Duane syndrome, a congential eye-movement disorder characterized by the abnormal development of cranial nerve VI (the abducens nerve). There are three isoforms of CPA6 that exist as a result of alternative splicing events.
Specifications
CPA6 | |
Polyclonal | |
Unconjugated | |
CPA6 | |
9030616D13Rik; Carboxypeptidase A6; carboxypeptidase B; CPA6; CPAH; ETL5; FEB11; metallocarboxypeptidase; si:dkey-78n18.1 | |
Rabbit | |
Antigen affinity chromatography | |
RUO | |
312913, 329093, 57094 | |
Store at 4°C short term. For long term storage, store at -20°C, avoiding freeze/thaw cycles. | |
Liquid |
Immunohistochemistry (Paraffin), Western Blot, Immunocytochemistry | |
1 mg/mL | |
PBS with 50% glycerol and 0.02% sodium azide; pH 7.2 | |
Q5U901, Q8N4T0 | |
CPA6 | |
Recombinant full length Human CPA6. | |
100 μL | |
Primary | |
Human, Mouse, Rat | |
Antibody | |
IgG |
Product Content Correction
Your input is important to us. Please complete this form to provide feedback related to the content on this product.
Product Title
Spot an opportunity for improvement?Share a Content Correction