Promotional price valid on web orders only. Your contract pricing may differ. Interested in signing up for a dedicated account number?
Learn More

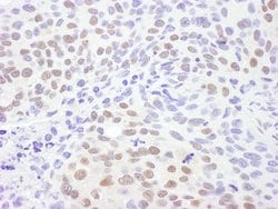
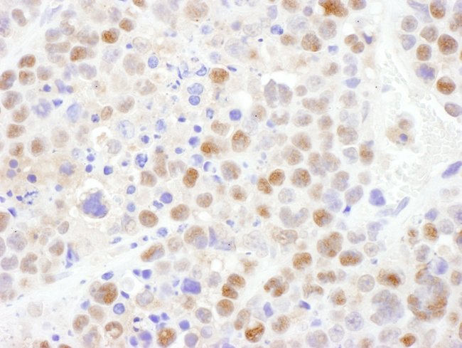
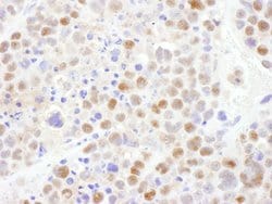
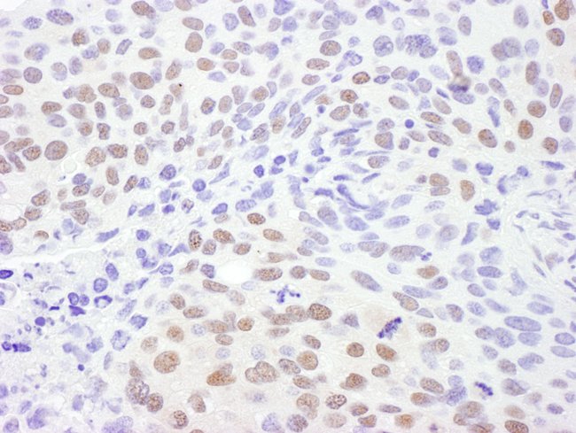
CRM1 Rabbit anti-Human, Mouse, Polyclonal, Bethyl Laboratories

Catalog No. 501557697
Encompass_Preferred
Change view
Click to view available options
Quantity:
100 μL
1 product options available for selection
Product selection table with 1 available options. Use arrow keys to navigate and Enter or Space to select.
Catalog No. Quantity
50-155-7697 100 μL
Use arrow keys to navigate between rows. Press Enter or Space to select a product option. 1 options available.
1 options
Catalog No. 50-155-7697 Supplier Bethyl Laboratories, Inc Supplier No. A300469A
Only null left
Add to Cart
Add to Cart

Rabbit Polyclonal Antibody

The recommended shelf life for this product is 1 year from date of receipt. Application Note: For IHC, epitope retrieval with citrate buffer pH 6.0 is recommended for FFPE tissue sections.

The protein encoded by this gene mediates leucine-rich nuclear export signal (NES)-dependent protein transport. Exportin 1 specifically inhibits the nuclear export of Rev and U snRNAs. It is involved in the control of several cellular processes by controlling the localization of cyclin B, MPAK, and MAPKAP kinase 2. This protein also regulates NFAT and AP-1.

Specifications

Antigen CRM1
Applications Immunohistochemistry, Immunoprecipitation, Western Blot
Classification Polyclonal
Concentration 1 mg/ml
Conjugate Unconjugated
Formulation phosphate, tris citrate with 0.09% sodium azide; pH 7-8
Gene XPO1
Gene Accession No. O14980, Q6P5F9
Gene Alias Chromosome Region Maintece 1
Gene Symbols Xpo1
Host Species Rabbit
Immunogen Between 1025 and C-term
Purification Method Antigen affinity chromatography
Quantity 100 μL
Regulatory Status RUO
Primary or Secondary Primary
Gene ID (Entrez) 103573, 7514
Target Species Human, Mouse
Content And Storage 4° C
Product Type Antibody
Form Liquid
Isotype IgG
Show More Show Less
Product Title
Select an issue

By clicking Submit, you acknowledge that you may be contacted by Fisher Scientific in regards to the feedback you have provided in this form. We will not share your information for any other purposes. All contact information provided shall also be maintained in accordance with our Privacy Policy.