Promotional price valid on web orders only. Your contract pricing may differ. Interested in signing up for a dedicated account number?
Learn More

CSTF64 Rabbit anti-Human, Mouse, Polyclonal, Bethyl Laboratories

Rabbit Polyclonal Antibody

Supplier:  Bethyl Laboratories, Inc A301093A

Encompass_Preferred

Catalog No. 50-155-9233


May include imposed supplier surcharges.
Only null left
Add to Cart

Description

Description

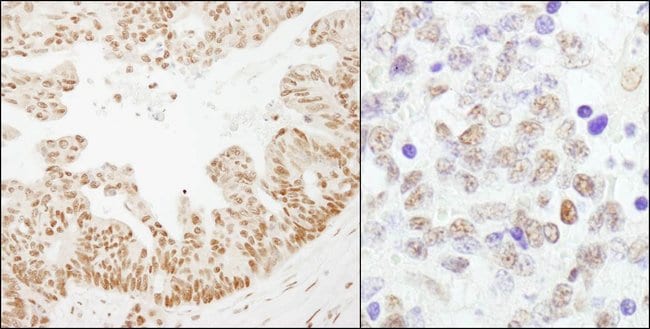
The recommended shelf life for this product is 1 year from date of receipt. Application Note: For IHC, epitope retrieval with citrate buffer pH 6.0 is recommended for FFPE tissue sections. Based on 100% sequence identity, this antibody is predicted to react with Bovine and Orangutan

CSTF2 is one of three (including CSTF1 and CSTF3) cleavage stimulation factors which combine to form CSTF which is involved in the polyadenylation and 3′end cleavage of pre-mRNAs. CSTF2 contains a ribonucleoprotein-type RNA binding domain. CSTF2 is upregulated during activation of B cells which results in the switch of IgM heavy chain mRNA from membrane bound form to the secreted form.
Specifications

Specifications

CSTF64
Polyclonal
Unconjugated
CSTF2
Cleavage stimulation factor 64 kDa subunit; CSTF 64 kDa subunit; CF-1 64 kDa subunit; CstF-64; CSTF2;
Rabbit
Antigen affinity chromatography
RUO
108062, 1478
4° C
Liquid
Immunohistochemistry, Immunoprecipitation, Western Blot
0.2 mg/ml
TBS with 0.1% BSA and 0.09% sodium azide
P33240, Q8BIQ5
CSTF2
Between 527 and 577
100 μL
Primary
Human, Mouse
Antibody
IgG
Product Suggestions

Product Suggestions

Videos
SDS
Documents

Documents

Product Certifications
Promotions

Promotions

Product Content Correction

The Fisher Scientific Encompass Program offers items which are not part of our distribution portfolio. These products typically do not have pictures or detailed descriptions. However, we are committed to improving your shopping experience. Please use the form below to provide feedback related to the content on this product.

Product Title

By clicking Submit, you acknowledge that you may be contacted by Fisher Scientific in regards to the feedback you have provided in this form. We will not share your information for any other purposes. All contact information provided shall also be maintained in accordance with our Privacy Policy.

Your feedback has been submitted: Thank you for helping us improve our website.