Learn More
Invitrogen™ CTGF Polyclonal Antibody

Rabbit Polyclonal Antibody
Supplier: Invitrogen™ PA532193
Description
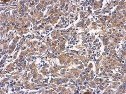
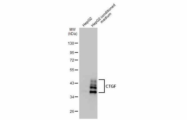
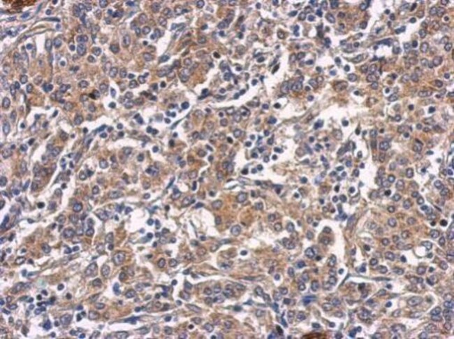
Recommended positive controls: A549, H1299, HCT116, HUVEC, Mouse heart, Rat bladder, CTGF-transfected 293T, HepG2, HepG2 conditioned medium. Predicted reactivity: Mouse (93%), Rat (94%), Xenopus laevis (85%), Pig (95%), Chicken (94%), Sheep (96%), Chimpanzee (99%), Bovine (93%). Store product as a concentrated solution. Centrifuge briefly prior to opening the vial.
Connective Tissue Growth Factor (CTGF), also called CCN2, is a member of the CCN family. CTGF is a secreted protein produced by umbilical veins and vascular endothelial cells. CTGF possesses an Insulin-like Growth Factor (IGF)-binding domain, a thrombospondin type 1 domain, and a cysteine knot region. CTGF plays important roles in the proliferation and differentiation of chondrocytes, induces angiogenesis, and promotes cell adhesion in fibroblasts, endothelial, and epithelial cells.
Specifications
| CTGF | |
| Polyclonal | |
| Unconjugated | |
| CCN2 | |
| 2-Nov; betaIG-M2; CCN family member 2; Ccn2; Cellular communication network factor 2; connective tissue growth factor; connective tissue growth factor precursor; Connective tissue growth factor precursor (CTGF) (FISP-12 protein) (Hypertrophic chondrocyte-specific protein 24); connective tissue growth-related protein; CTGF; CTGF protein; CTGRP; fibroblast inducible secreated protein; fibroblast inducible secreted protein; Fisp12; fisp-12; Hcs24; H-CTGF; hypertrophic chondrocyte-specific gene product 24; hypertrophic chondrocyte-specific protein 24; IBP-8; IGF-binding protein 8; IGFBP8; IGFBP-8; Insulin-like growth factor-binding protein 8; MGC102839; NOV2; Protein FISP-12; similar to connective tissue growth factor precursor | |
| Rabbit | |
| Antigen affinity chromatography | |
| RUO | |
| 14219, 1490, 281103, 64032 | |
| Store at 4°C short term. For long term storage, store at -20°C, avoiding freeze/thaw cycles. | |
| Liquid |
| Immunohistochemistry (Frozen), Immunohistochemistry (Paraffin), Western Blot, Immunocytochemistry | |
| 0.42 mg/mL | |
| PBS with 1% BSA, 20% glycerol and 0.025% ProClin 300; pH 7 | |
| O18739, P29268, P29279, Q9R1E9 | |
| CCN2 | |
| Recombinant protein encompassing a sequence within the center region of human CTGF. The exact sequence is proprietary. | |
| 100 μL | |
| Primary | |
| Baboon, Bovine, Human, Mouse, Monkey, Rat | |
| Antibody | |
| IgG |
Your input is important to us. Please complete this form to provide feedback related to the content on this product.