Promotional price valid on web orders only. Your contract pricing may differ. Interested in signing up for a dedicated account number?
Learn More
Learn More
Invitrogen™ CTR1 Polyclonal Antibody

Rabbit Polyclonal Antibody
Supplier: Invitrogen™ PA116586
Description
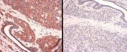
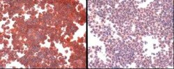
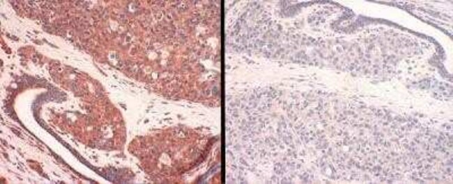
Suggested positive control: human breast cancer and kidney tissue.
The trace metal copper (Cu) plays a crucial role in mammalian cells as a cofactor for many enzymes. Cu-related genetic diseases, such as Menkes disease and Wilson disease, arise from a lack of Cu homeostasis in mammalian cells. CTR1 is a high-affinity copper-uptake protein. The C-terminal domain is similar to the Raf family of protein kinases, but it's first two-thirds encodes a novel protein domain. CTR1 provides the primary avenue for copper uptake in mammalian cells, thereby, affecting Cu homeostasis and embryonic development.
Specifications
CTR1 | |
Polyclonal | |
Unconjugated | |
SLC31A1 | |
4930445G01Rik; AI787263; AU016967; copper transport 1 homolog; copper transporter 1; Copper uptake transporter 1; COPT1; ctr1; ctr-1; hCTR1; high affinity copper uptake protein; high affinity copper uptake protein 1; high-affinity copper uptake protein; liver regeneration-related protein LRRGT00200; LRRGT00200; rCTR1; SLC31A1; slc31a1.L; solute carrier family 13 (sodium/sulphate symporters), member 1; solute carrier family 31 (copper transporter), member 1; solute carrier family 31 (copper transporter), member 1 L homeolog; solute carrier family 31 (copper transporters), member 1; solute carrier family 31 member 1; solute carrier family 31, member 1; Xctr1; XELAEV_18038194mg; zgc:76839 | |
Rabbit | |
Antigen affinity chromatography | |
RUO | |
1317, 171135, 20529, 379422, 397186, 403028, 481678 | |
Store at 4°C short term. For long term storage, store at -20°C, avoiding freeze/thaw cycles. | |
Liquid |
Immunohistochemistry (Frozen), Immunohistochemistry (Paraffin), Western Blot, Immunocytochemistry | |
1 mg/mL | |
PBS with 0.02% sodium azide | |
O15431, Q8K211, Q8WNR0, Q9JK41 | |
SLC31A1, slc31a1.L | |
A synthetic peptide derived from a C-terminal sequence of human SLC31A1/CTR1. | |
100 μL | |
Primary | |
Canine, Human, Mouse, Pig, Rat, Frog, Zebrafish | |
Antibody | |
IgG |
Safety and Handling
WARNING: Cancer and Reproductive Harm - www.P65Warnings.ca.gov
Product Content Correction
Your input is important to us. Please complete this form to provide feedback related to the content on this product.
Product Title
Spot an opportunity for improvement?Share a Content Correction