Promotional price valid on web orders only. Your contract pricing may differ. Interested in signing up for a dedicated account number?
Learn More

CTR9 Rabbit anti-Human, Mouse, Polyclonal, Bethyl Laboratories

Rabbit Polyclonal Antibody

Supplier:  Bethyl Laboratories, Inc A301395A

Encompass_Preferred

Catalog No. 50-156-0273


May include imposed supplier surcharges.
Only null left
Add to Cart

Description

Description

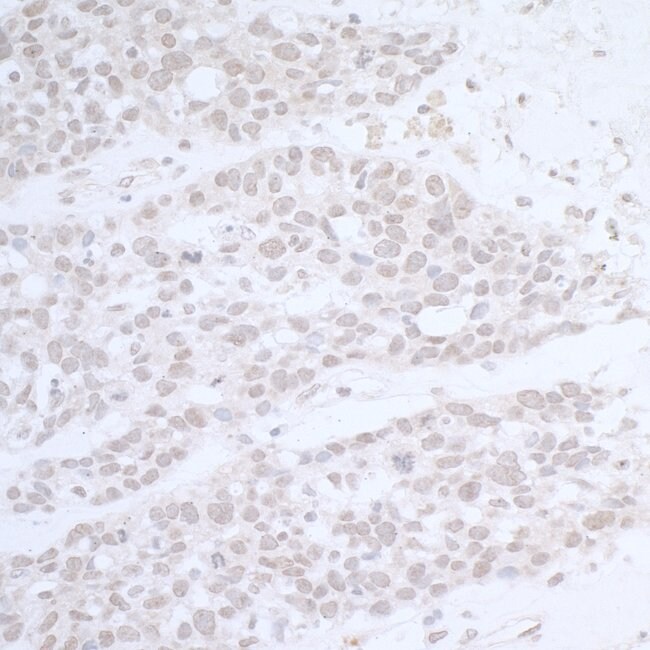
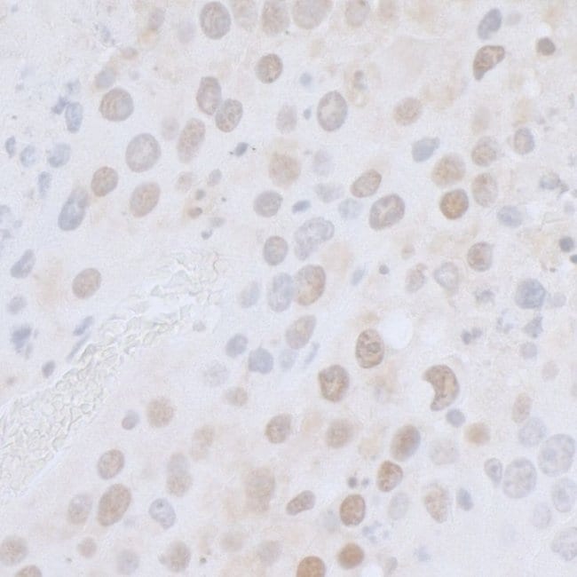
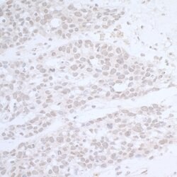
The recommended shelf life for this product is 1 year from date of receipt. Application Note: For IHC, epitope retrieval with citrate buffer pH 6.0 is recommended for FFPE tissue sections.

CTR9, parafibromin (CDC73; MIM 607393), LEO1 (MIM 610507), and PAF1 (MIM 610506) form the PAF protein complex, which associates with the RNA polymerase II subunit POLR2A (MIM 180660) and with a histone methyltransferase complex (Rozenblatt-Rosen et al., 2005 [PubMed 15632063]).
Specifications

Specifications

CTR9
Polyclonal
Unconjugated
CTR9
SH2BP1, TSBP, p150, p150TSP, RNA polymerase-associated protein CTR9 homolog, SH2 domain binding protein 1 (tetratricopeptide repeat containing), SH2 domain-binding protein 1, TPR-containing, SH2-binding phosphoprotein
Rabbit
Antigen affinity chromatography
RUO
22083, 9646
4° C
Liquid
Immunohistochemistry, Immunoprecipitation, Western Blot
1 mg/ml
phosphate, tris citrate with 0.09% sodium azide; pH 7-8
Q62018, Q6PD62
CTR9
Between 1123 and 1173
100 μL
Primary
Human, Mouse
Antibody
IgG
Product Suggestions

Product Suggestions

Videos
SDS
Documents

Documents

Product Certifications
Promotions

Promotions

Product Content Correction

The Fisher Scientific Encompass Program offers items which are not part of our distribution portfolio. These products typically do not have pictures or detailed descriptions. However, we are committed to improving your shopping experience. Please use the form below to provide feedback related to the content on this product.

Product Title

By clicking Submit, you acknowledge that you may be contacted by Fisher Scientific in regards to the feedback you have provided in this form. We will not share your information for any other purposes. All contact information provided shall also be maintained in accordance with our Privacy Policy.

Your feedback has been submitted: Thank you for helping us improve our website.